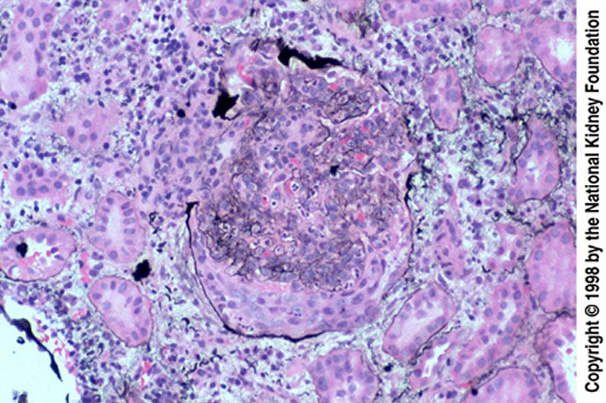
Glomerulonefrite pós-infecciosa (crescentes epiteliais)
Crescentes epiteliais são especialmente comuns quando a biópsia é tardia, após insucesso do tratamento. O crescente rompeu a cápsula de Bowman (coloração prata de Jones, × 200).
Image provided by Agnes Fogo, MD, and the American Journal of Kidney Diseases' Atlas of Renal Pathology (see www.ajkd.org).
Nesses tópicos
