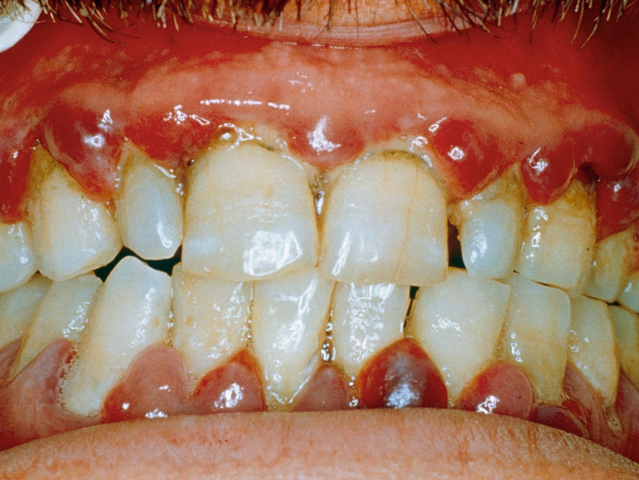
Gengivas inchadas e inflamadas no escorbuto
Esta foto mostra gengiva roxa e edematosa em um paciente com escorbuto.
BIOPHOTO ASSOCIATES/SCIENCE PHOTO LIBRARY
Nesses tópicos
Esta foto mostra gengiva roxa e edematosa em um paciente com escorbuto.
BIOPHOTO ASSOCIATES/SCIENCE PHOTO LIBRARY