Gangrena de Fournier (Radiografia abdominal)
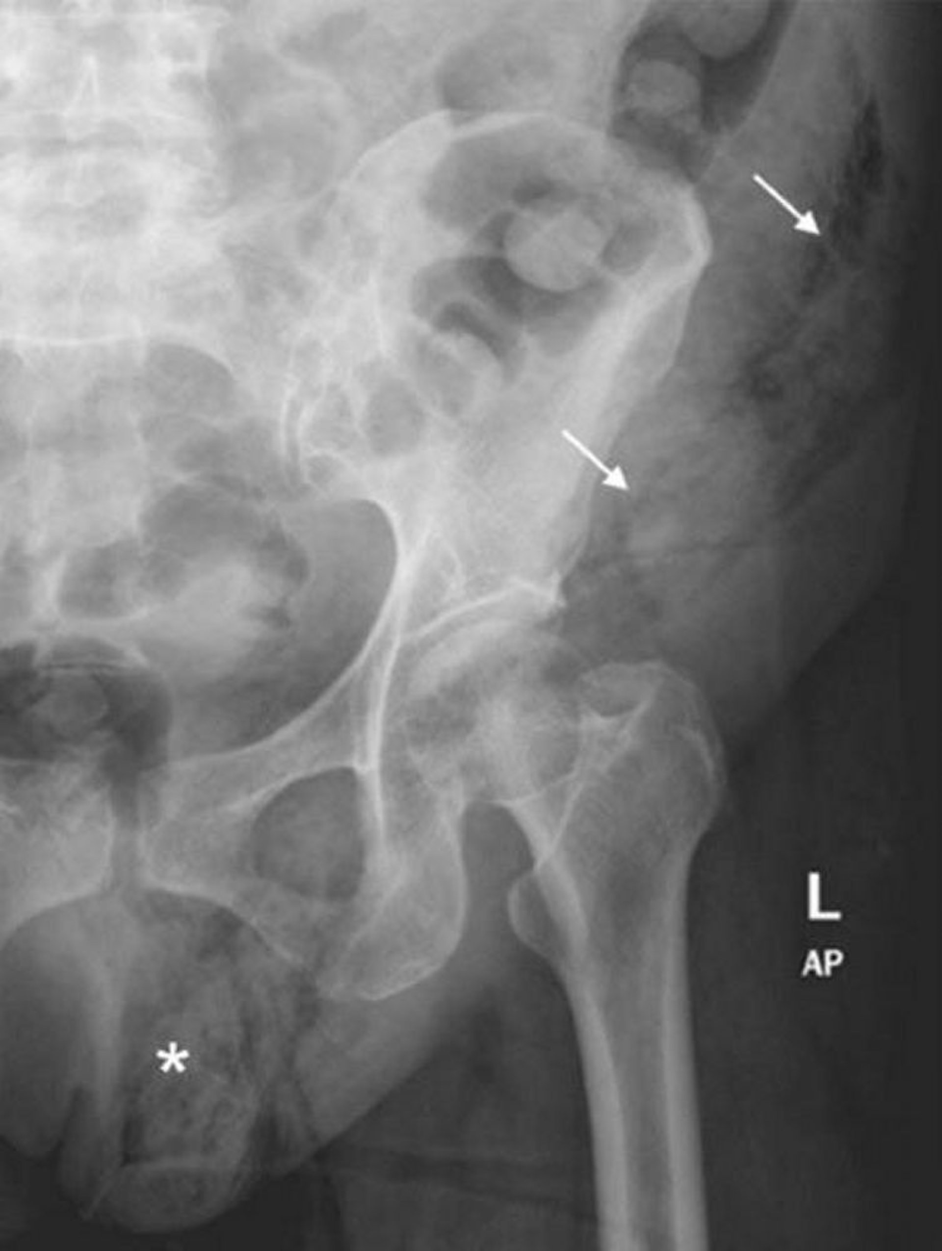
Essa radiografia de abdome mostra extensão dos gases dos tecidos moles do hemiscroto esquerdo (*) à parede abdominal esquerda (flechas).
© Springer Science+Business Media
Nesses tópicos
Essa radiografia de abdome mostra extensão dos gases dos tecidos moles do hemiscroto esquerdo (*) à parede abdominal esquerda (flechas).
© Springer Science+Business Media