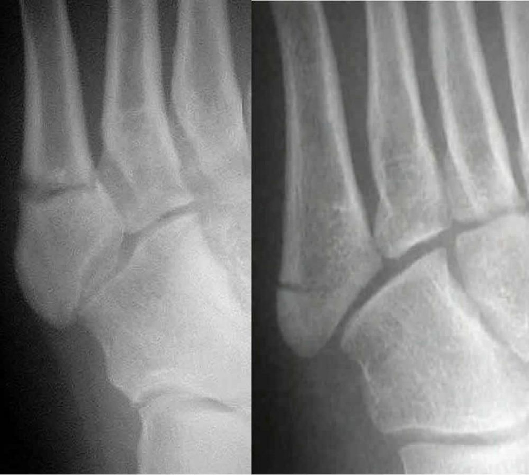
Fraturas de Jones versus pseudo-Jones
A fratura de Jones (à esquerda) compromete o 5º eixo metatarsal; a pseudo-fratura Jones (à direita) envolve a 5ª base metatarsal. É importante diferenciar as duas porque são tratadas de forma diferente.
Images courtesy of Danielle Campagne, MD.
Nesses tópicos
