Fratura proximal do úmero
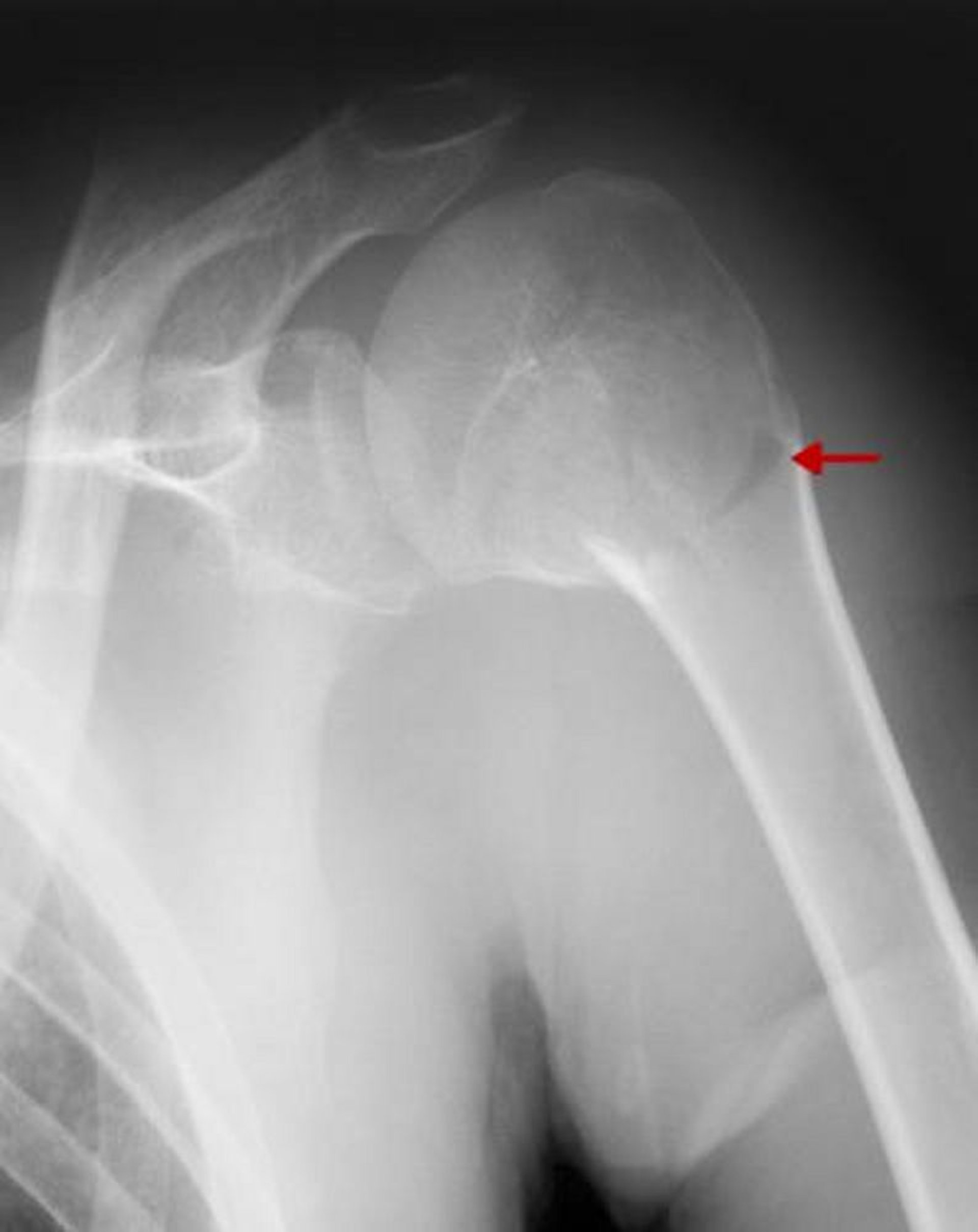
Essa fratura envolve o colo cirúrgico. Como não há nenhum desvio significativo com angulação > 45°, é uma fratura de uma parte.
ZEPHYR/SCIENCE PHOTO LIBRARY
Nesses tópicos
Essa fratura envolve o colo cirúrgico. Como não há nenhum desvio significativo com angulação > 45°, é uma fratura de uma parte.
ZEPHYR/SCIENCE PHOTO LIBRARY