Fratura por compressão osteoporótica
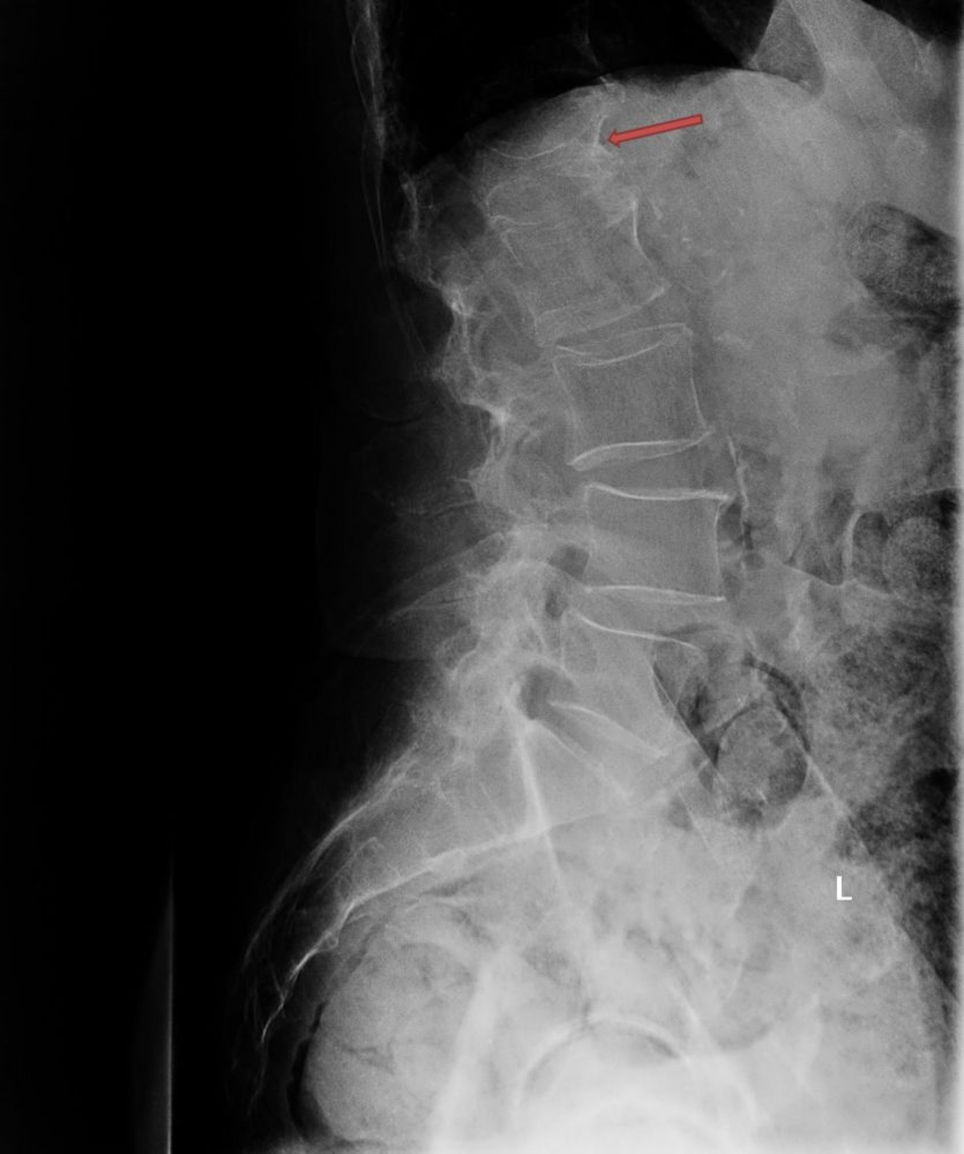
Essa radiografia mostra fratura osteoporótica grave por compressão da primeira vértebra lombar (L1; seta).
Photo courtesy of Marcy B. Bolster, MD.
Nesses tópicos
Essa radiografia mostra fratura osteoporótica grave por compressão da primeira vértebra lombar (L1; seta).
Photo courtesy of Marcy B. Bolster, MD.