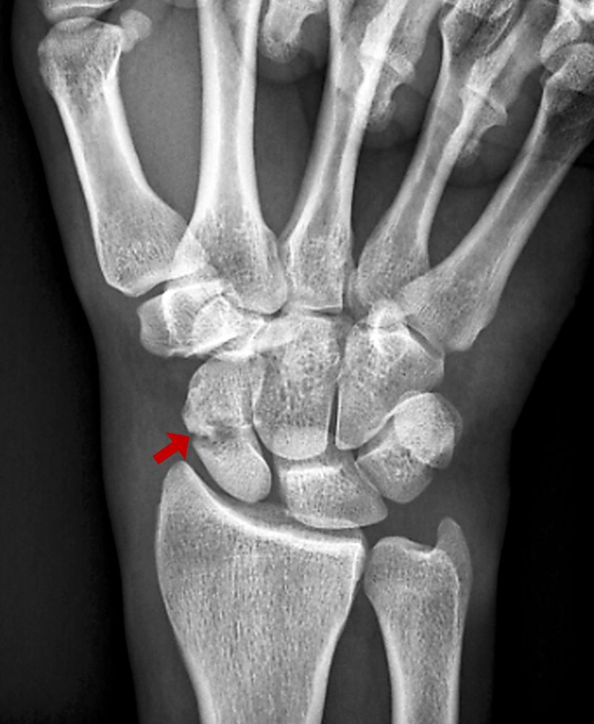
Fratura do escafoide
Essa fratura do escafoide é visível como uma radiotransparência na radiografia.
ZEPHYR/SCIENCE PHOTO LIBRARY
Nesses tópicos
Essa fratura do escafoide é visível como uma radiotransparência na radiografia.
ZEPHYR/SCIENCE PHOTO LIBRARY