Fratura distal do rádio em galho verde
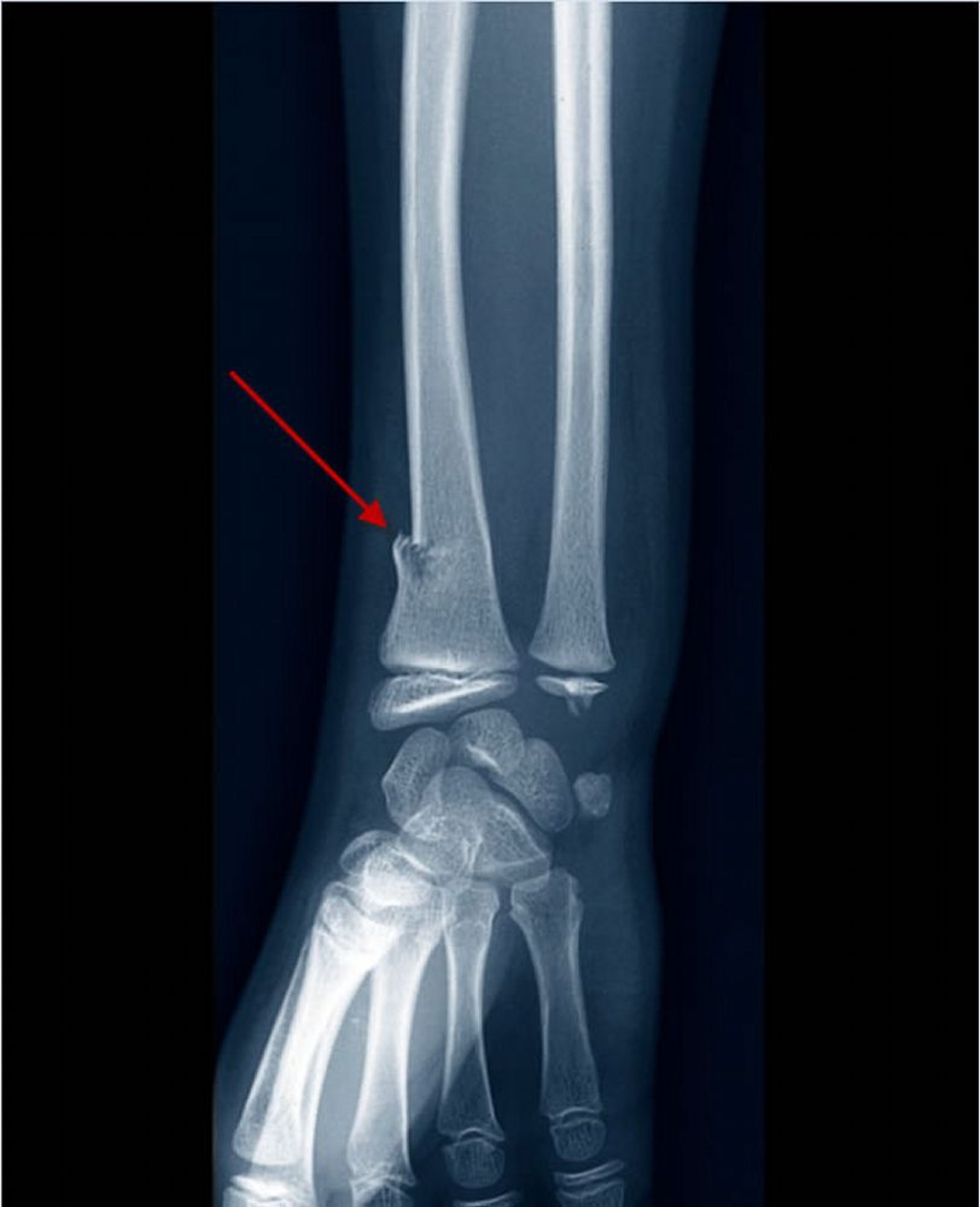
Essa radiografia mostra uma fratura distal do rádio em galho verde, visível como uma descontinuidade (deformidade) no aspecto radial do córtex (seta).
ZEPHYR/SCIENCE PHOTO LIBRARY
Nesses tópicos
Essa radiografia mostra uma fratura distal do rádio em galho verde, visível como uma descontinuidade (deformidade) no aspecto radial do córtex (seta).
ZEPHYR/SCIENCE PHOTO LIBRARY