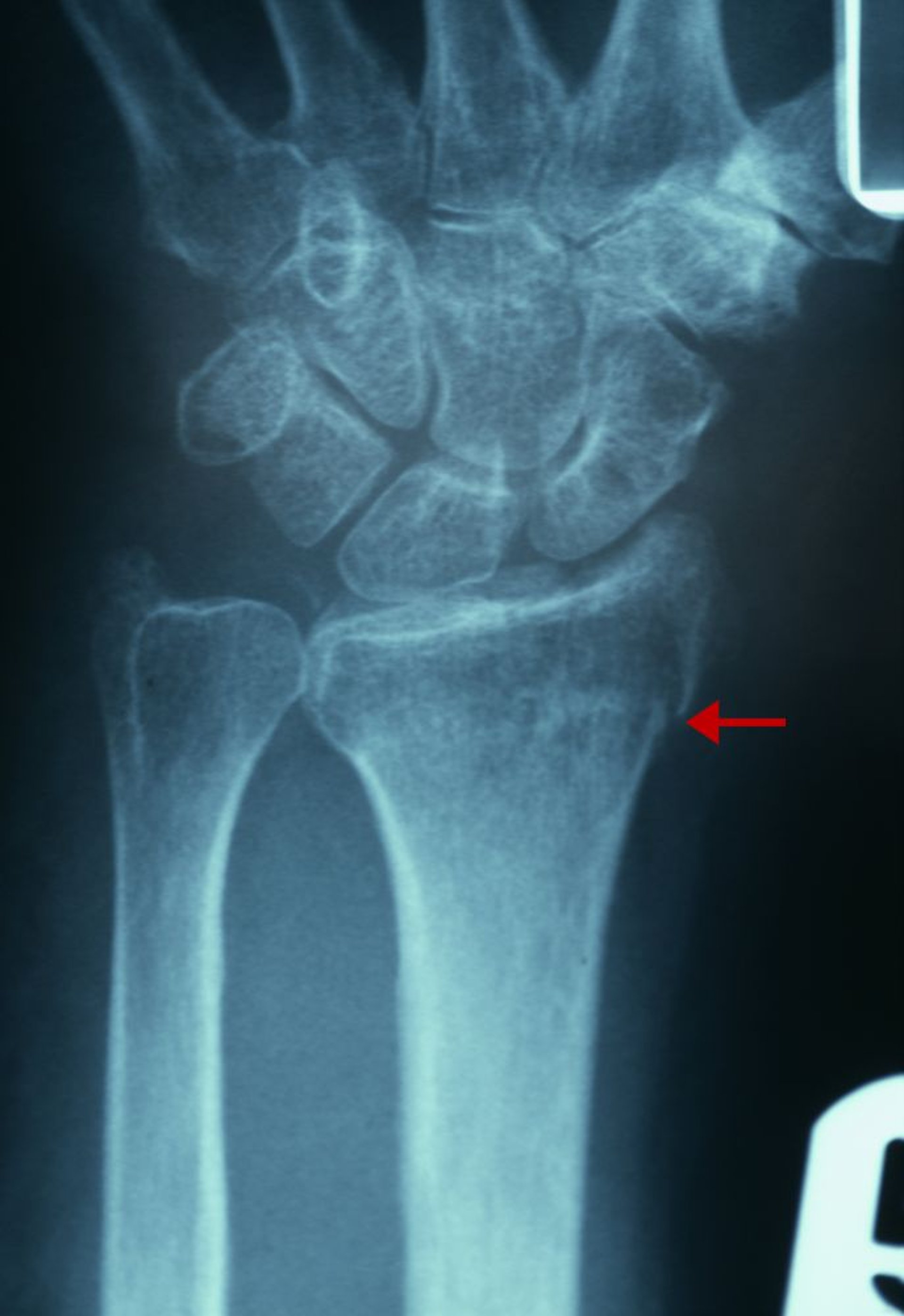
Fratura distal do rádio discreta
Evidências radiográficas dessa fratura são uma solução de continuidade da cortical na face radial da extremidade distal (seta) e o aumento da densidade trabecular do segmento distal do rádio.
DR P. MARAZZI/SCIENCE PHOTO LIBRARY
Nesses tópicos
