Fratura da diáfise média do fêmur (2)
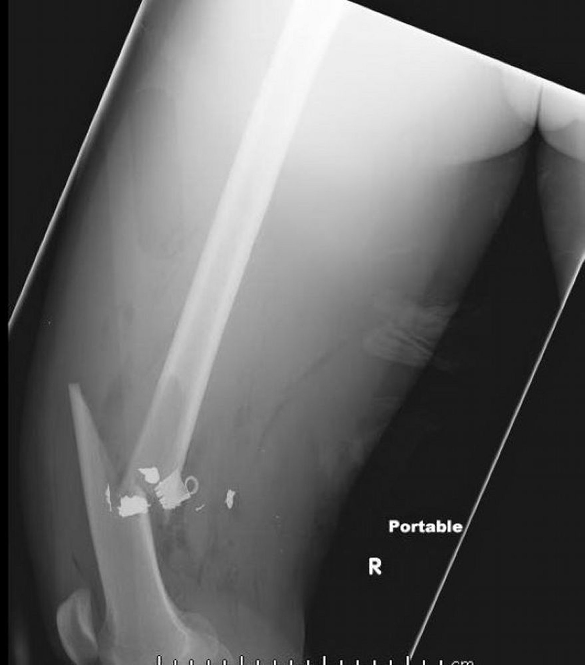
Essa radiografia lateral do fêmur mostra uma fratura da diáfise média do fêmur com ar em tecidos moles e retenção de corpos estranhos de densidade metálica.
Imagem cedida por cortesia de Danielle Campagne, MD.
Nesses tópicos
