Fratura da diáfise média do fêmur (1)
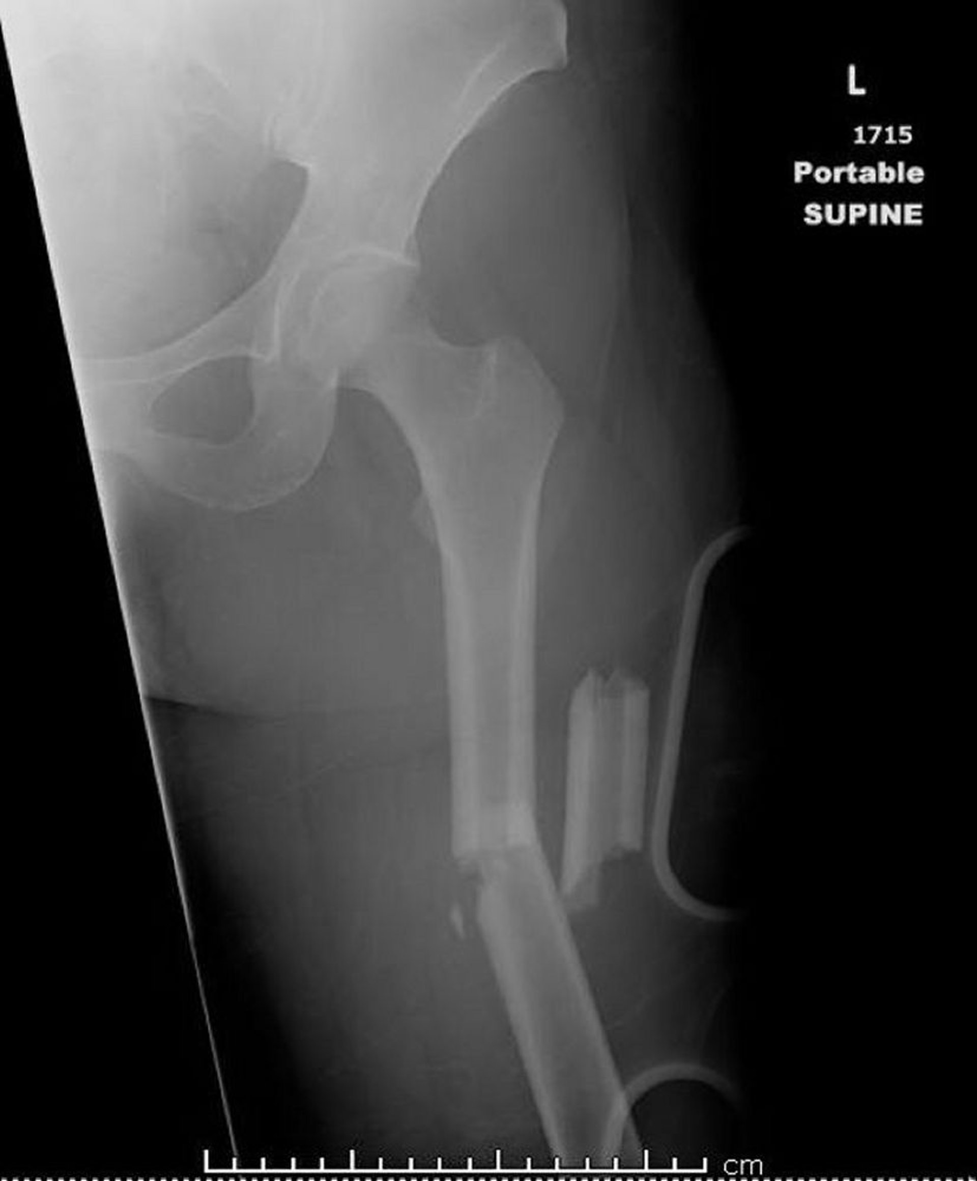
Essa imagem mostra uma fratura cominutiva, angulada e encurtada da diáfise média do fêmur.
Imagem cedida por cortesia de Danielle Campagne, MD.
Nesses tópicos
Essa imagem mostra uma fratura cominutiva, angulada e encurtada da diáfise média do fêmur.
Imagem cedida por cortesia de Danielle Campagne, MD.