Fibroma condromixoide
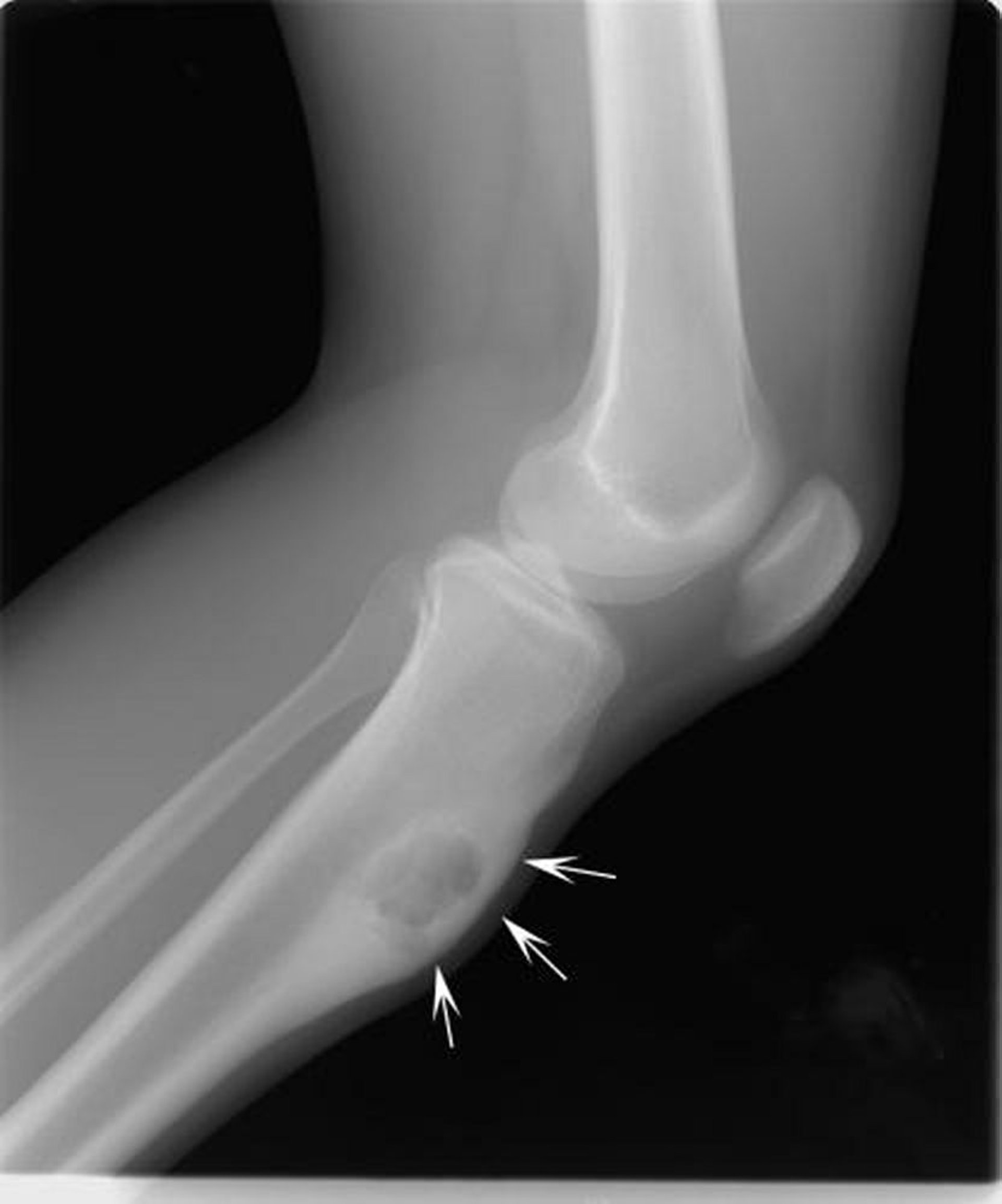
Essa radiografia do joelho mostra fibroma condromixoide na tíbia abaixo do joelho (setas), expandindo a parte anterior do osso.
Imagem cedida por cortesia de Michael J. Joyce, MD, and Hakan Ilaslan, MD.
Nesses tópicos
Essa radiografia do joelho mostra fibroma condromixoide na tíbia abaixo do joelho (setas), expandindo a parte anterior do osso.
Imagem cedida por cortesia de Michael J. Joyce, MD, and Hakan Ilaslan, MD.