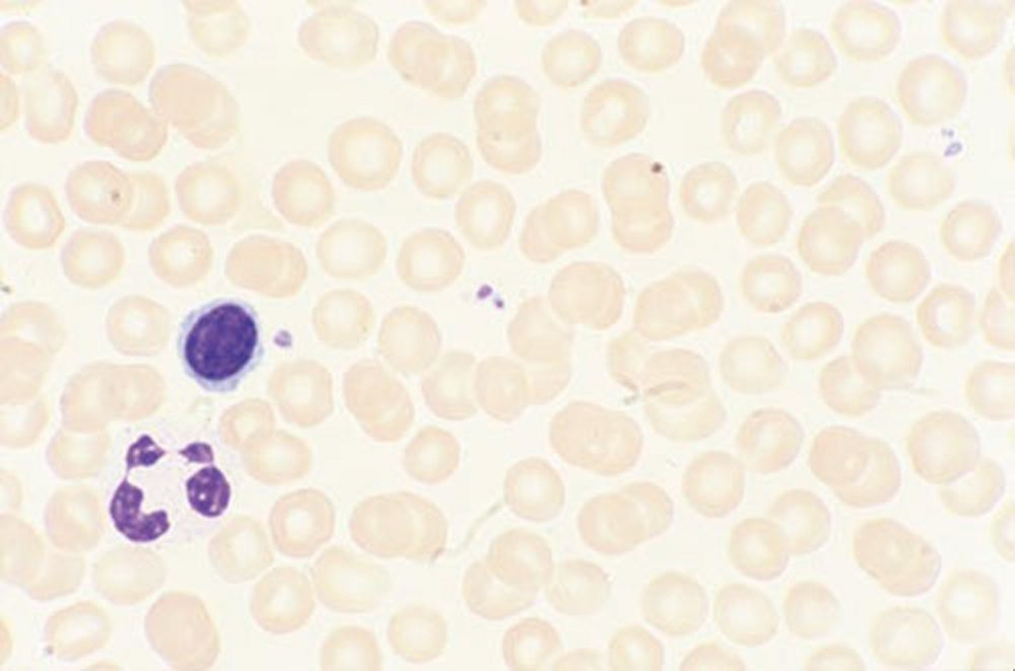
Esfregaço sanguíneo periférico, normal
Uma gota de sangue é colocada sobre uma lâmina de vidro e então corada (corante de Wright-Giemsa) para permitir a identificação dos vários tipos de células. Esses corantes são misturas de cores básicas (azul de metileno) que cora de azul e de corante ácido (eosina) que cora de vermelho. Assim, os componentes ácidos da célula (núcleo, RNA citoplasmático, grânulos basofílicos) se coram em azul ou púrpura, e os componentes básicos da célula (hemoglobina, grânulos eosinofílicos) se coram em vermelho ou laranja.
By permission of the publisher. From Tefferi A, Li C. In Atlas of Clinical Hematology. Edited by JO Armitage. Philadelphia, Current Medicine, 2004.
Nesses tópicos
