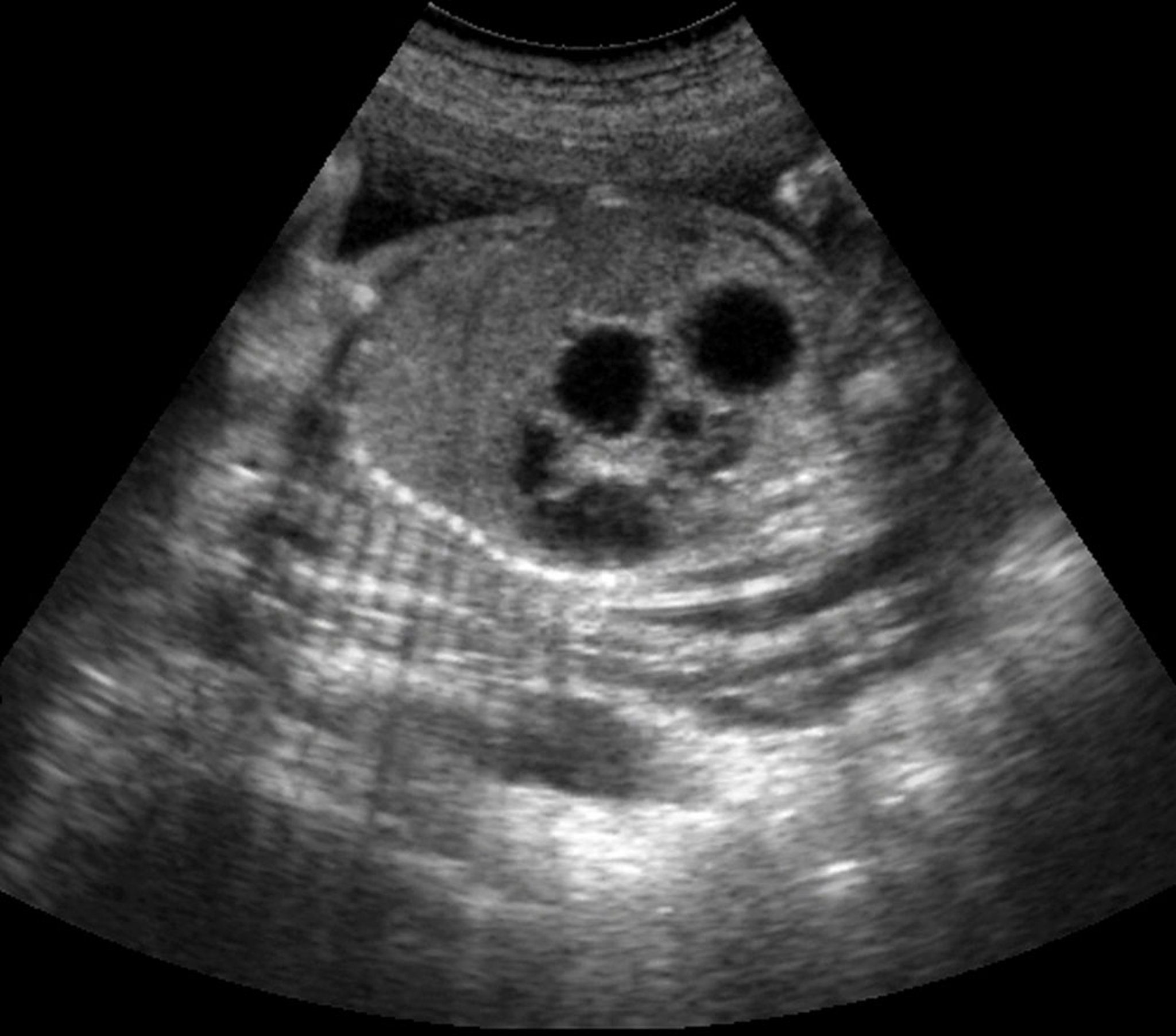
Efeito de dupla bolha (ultrassonografia)
Esta ultrassonografia mostra o sinal de bolha dupla em um feto com atresia duodenal.
DR NAJEEB LAYYOUS/SCIENCE PHOTO LIBRARY
Nesses tópicos
Esta ultrassonografia mostra o sinal de bolha dupla em um feto com atresia duodenal.
DR NAJEEB LAYYOUS/SCIENCE PHOTO LIBRARY