Diverticulite (TC)
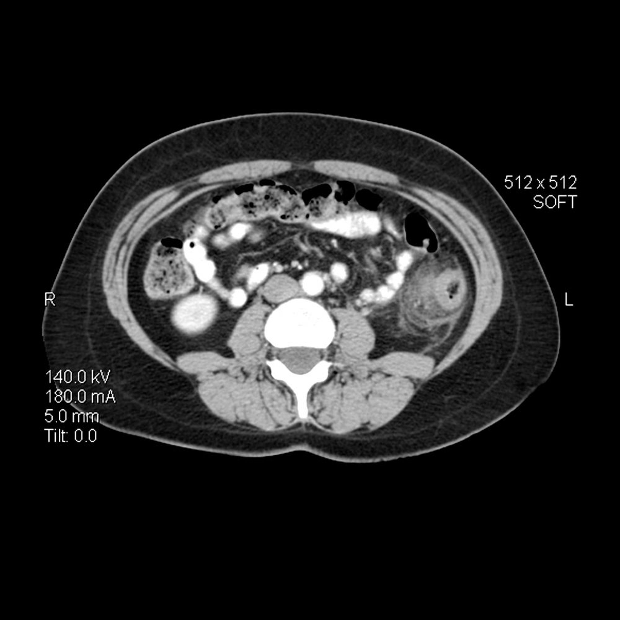
Nessa imagem de TC axial (transversal) do abdome em uma pessoa com diverticulite, a parede do colo descendente está espessada. Há também estrias inflamatórias com aumento da densidade na gordura pericolônica adjacente.
LIVING ART ENTERPRISES, LLC/SCIENCE PHOTO LIBRARY
Nesses tópicos
