Derrames pleurais — pequenos
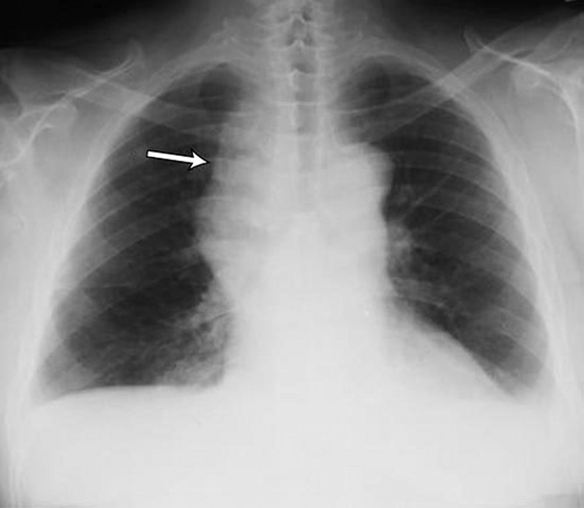
Esta foto mostra aumento dos linfonodos cervicais em um paciente com linfoma não Hodgkin. Ambos os ângulos costofrênicos opacificados. A seta indica o alargamento do mediastino alargado pelo linfoma.
By permission of the publisher. From Huggins J, Sahn S. In Bone's Atlas of Pulmonary and Critical Care Medicine. Edited by J Crapo. Philadelphia, Current Medicine, 2005.
Nesses tópicos
