Derrame pleural — extenso
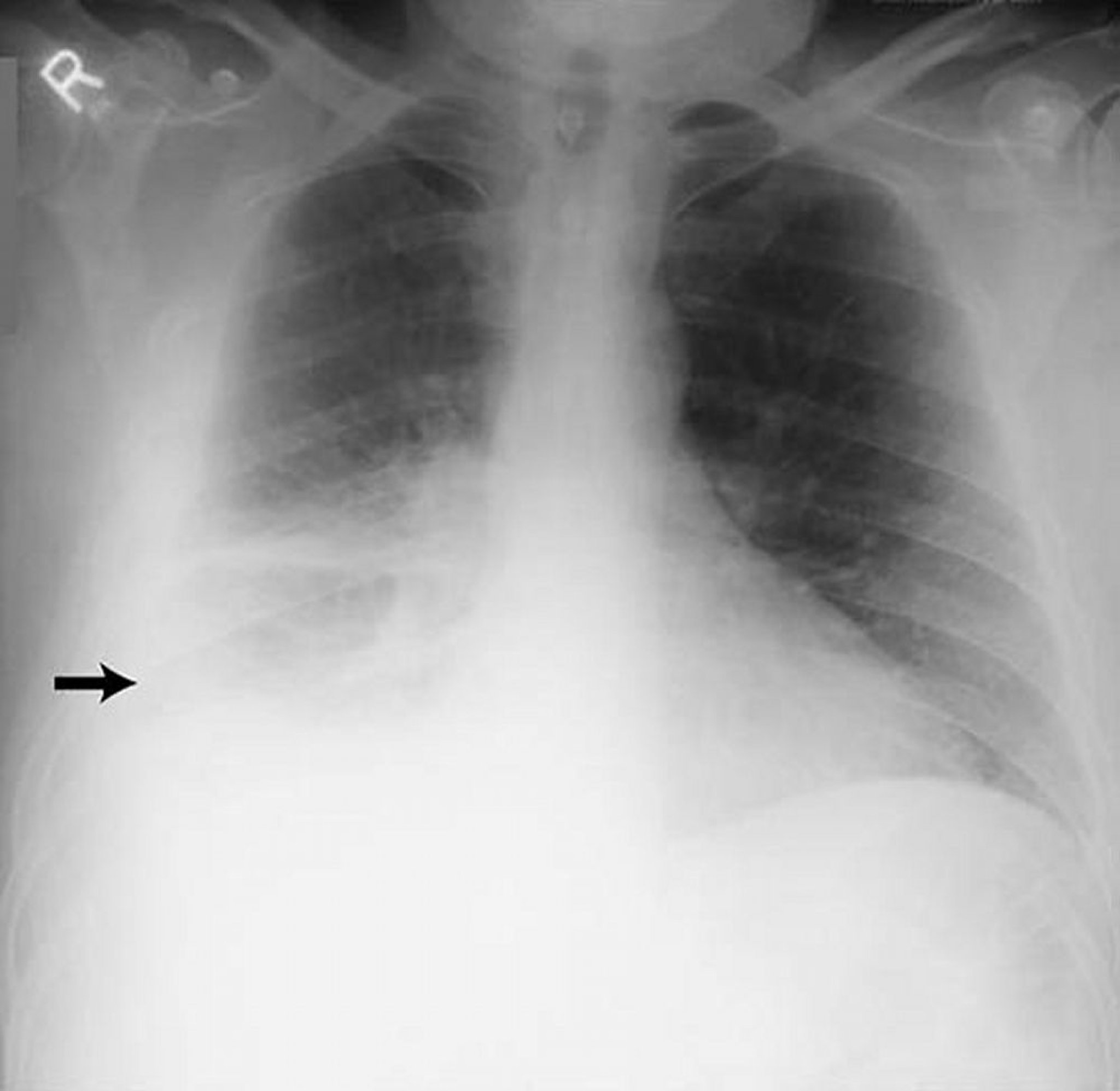
Esta imagem mostra grande derrame pleural à direita (seta) em paciente com pleurisia reumatoide.
By permission of the publisher. From Huggins J, Sahn S. In Bone's Atlas of Pulmonary and Critical Care Medicine. Edited by J Crapo. Philadelphia, Current Medicine, 2005.
Nesses tópicos
