Deficiência hereditária de eritrócitos G6PD
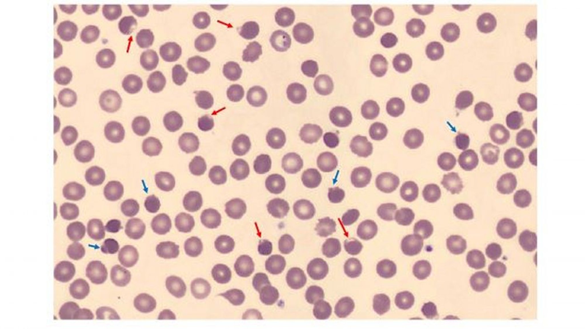
O esfregaço de sangue é de um homem de 37 anos com deficiência hereditária de G6PD. Mostra muitas células bolhosas (flechas vermelhas) devido à precipitação da hemoglobina lesada no interior das células. Também mostra esferócitos (flechas azuis) com danos à membrana decorrente da ligação pela hemoglobina oxidada.
Imagem cedida por cortesia de Jerry L. Spivak, MD.
Nesses tópicos
