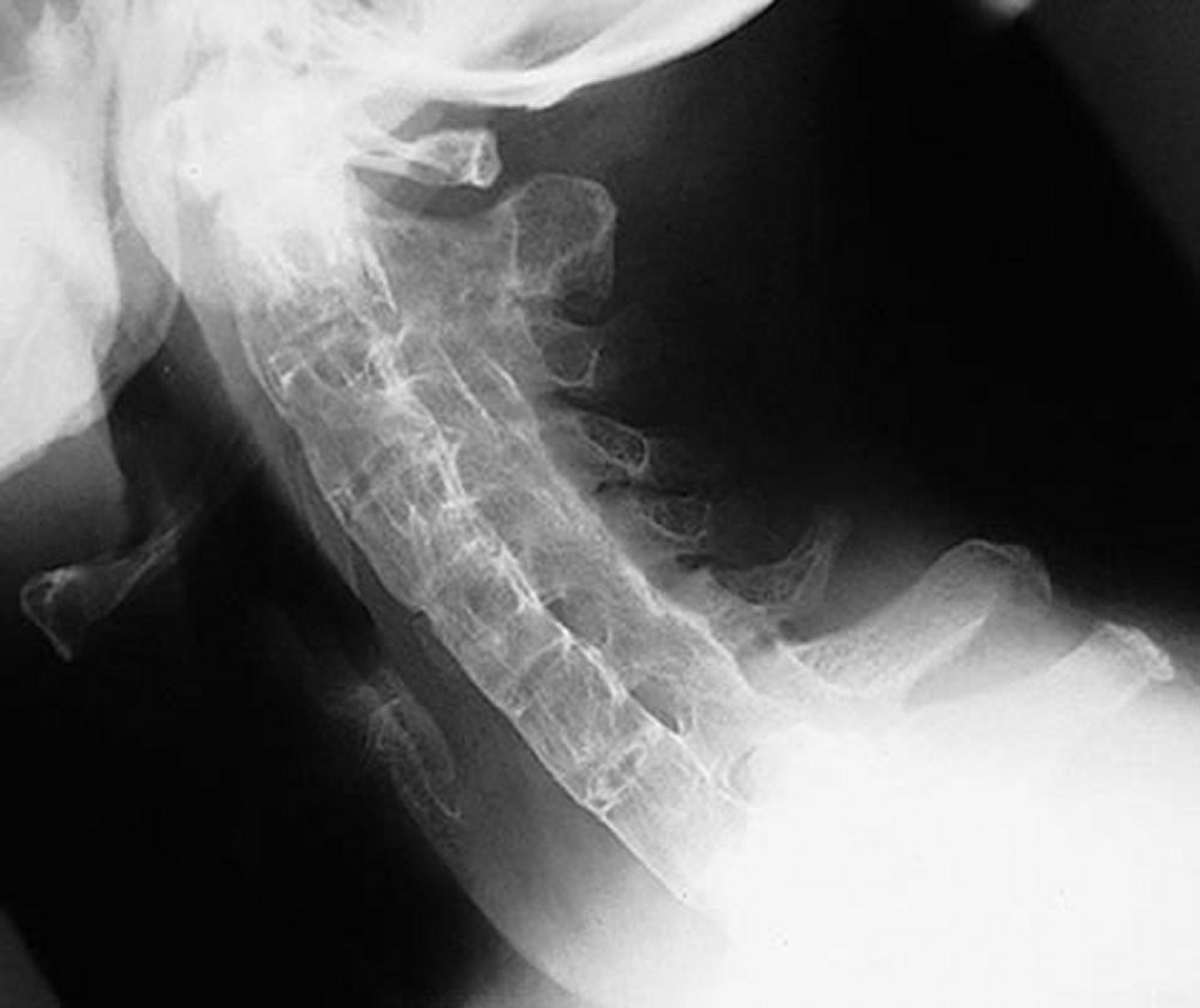
Coluna em bambu na espondilite anquilosante
Essa incidência lateral da coluna cervical mostra uma coluna cervical rígida em um paciente com espondilite anquilosante grave e de longa duração. A coluna vertebral está completamente anquilosada (“coluna em bambu”) decorrente de sindesmófitos, fusão das articulações facetadas (apofisárias) e calcificação ligamentar paraespinal.
By permission of the publisher. From Asim Khan M: Atlas of Rheumatology. Edited by G Hunder. Philadelphia, Current Medicine, 2005.
Nesses tópicos
