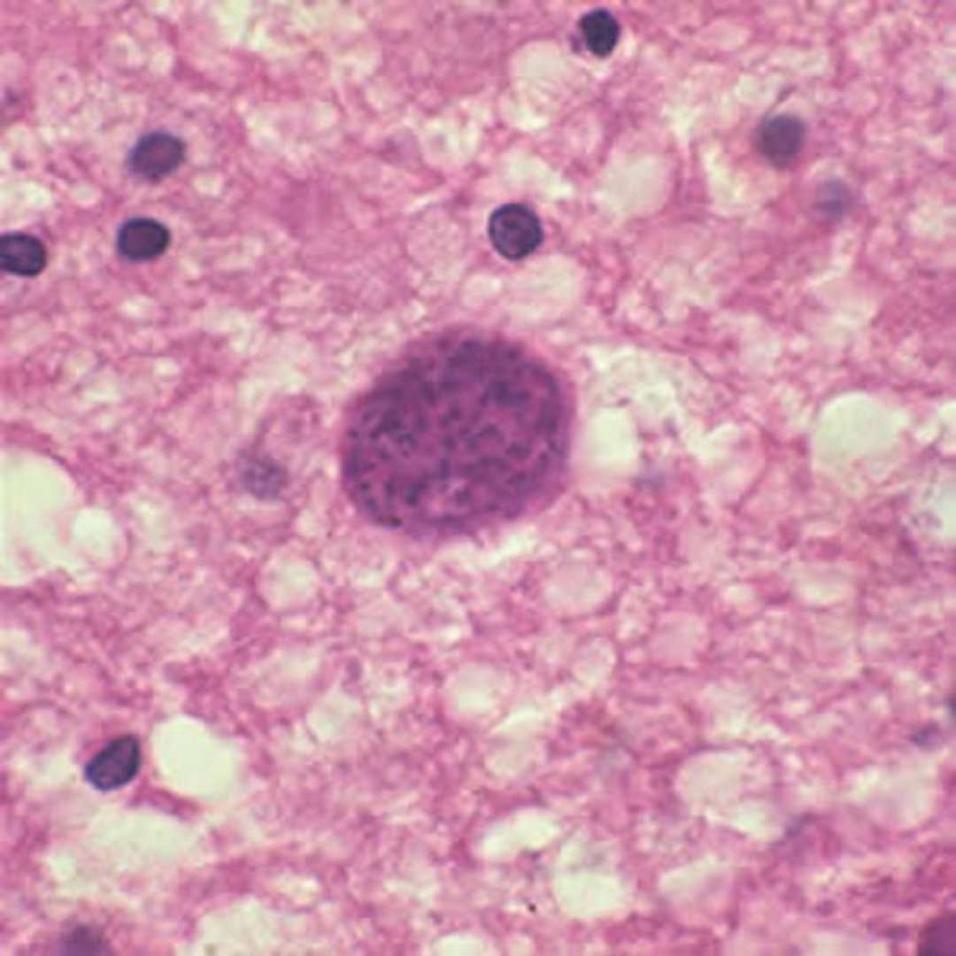
Cisto de Toxoplasma gondii no tecido cerebral
Essa imagem mostra um cisto de T. gondii no tecido cerebral corado com hematoxilina e eosina.
CDC/DPDx
Nesses tópicos
Essa imagem mostra um cisto de T. gondii no tecido cerebral corado com hematoxilina e eosina.
CDC/DPDx