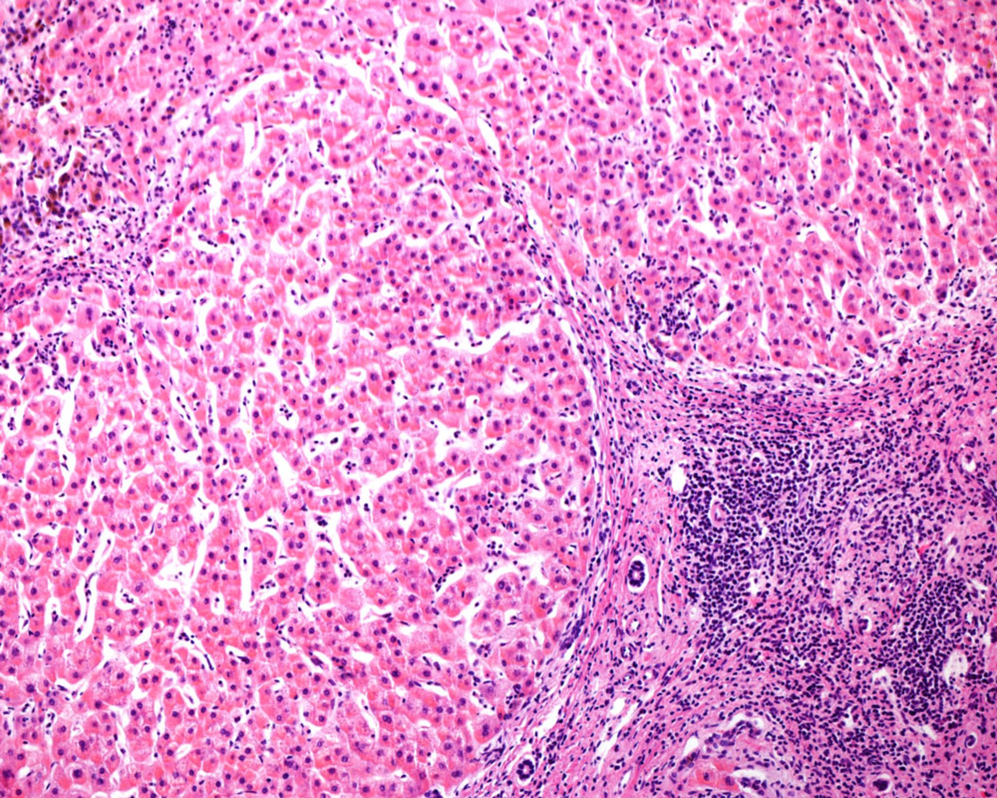
Cirrose micronodular no fígado humano (microscopia óptica)
Micrografia óptica de um fígado humano com cirrose micronodular, uma consequência frequente da hepatite alcoólica. Os nódulos regenerativos são separados por septos de tecido conjuntivo que mostram infiltrados inflamatórios crônicos. Observe a ausência de uma veia central nos nódulos e de tríades portais nos septos de tecido conjuntivo.
JOSE CALVO / SCIENCE PHOTO LIBRARY
Nesses tópicos
