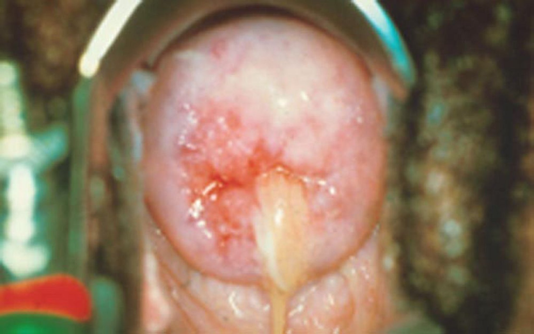
Cervicite mucopurulenta
O óstio do útero encontra-se enantematoso e inflamado, exsudando secreção espessa e amarela.
By permission of the publisher. De Goldfarb A. In Atlas of Clinical Gynecology: Pediatric and Adolescent Gynecology. Editado por M Stenchever (editor da série) and AF Goldfarb. Philadelphia, Current Medicine, 1998.
Nesses tópicos
