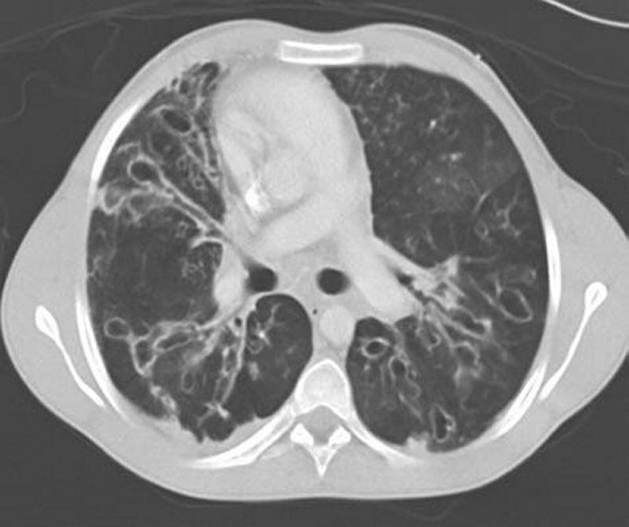
Aspergilose broncopulmonar alérgica (bronquiectasia)
TC de tórax com contraste mostra bronquiectasias graves nas zonas intermediárias do pulmão com vias respiratórias ectáticas e muito dilatadas e alterações císticas. Ectasia das vias respiratórias, caracterizada por uma proporção entre a via respiratória e o vaso adjacente > 1.
By permission of the publisher. De Coakley R, Boucher R, Fiel S, et al. In Bone's Atlas of Pulmonary and Critical Care Medicine. Edited by J Crapo. Philadelphia, Current Medicine, 2005.
Nesses tópicos
