Aorta ascendente em um paciente com arterite de Takayasu
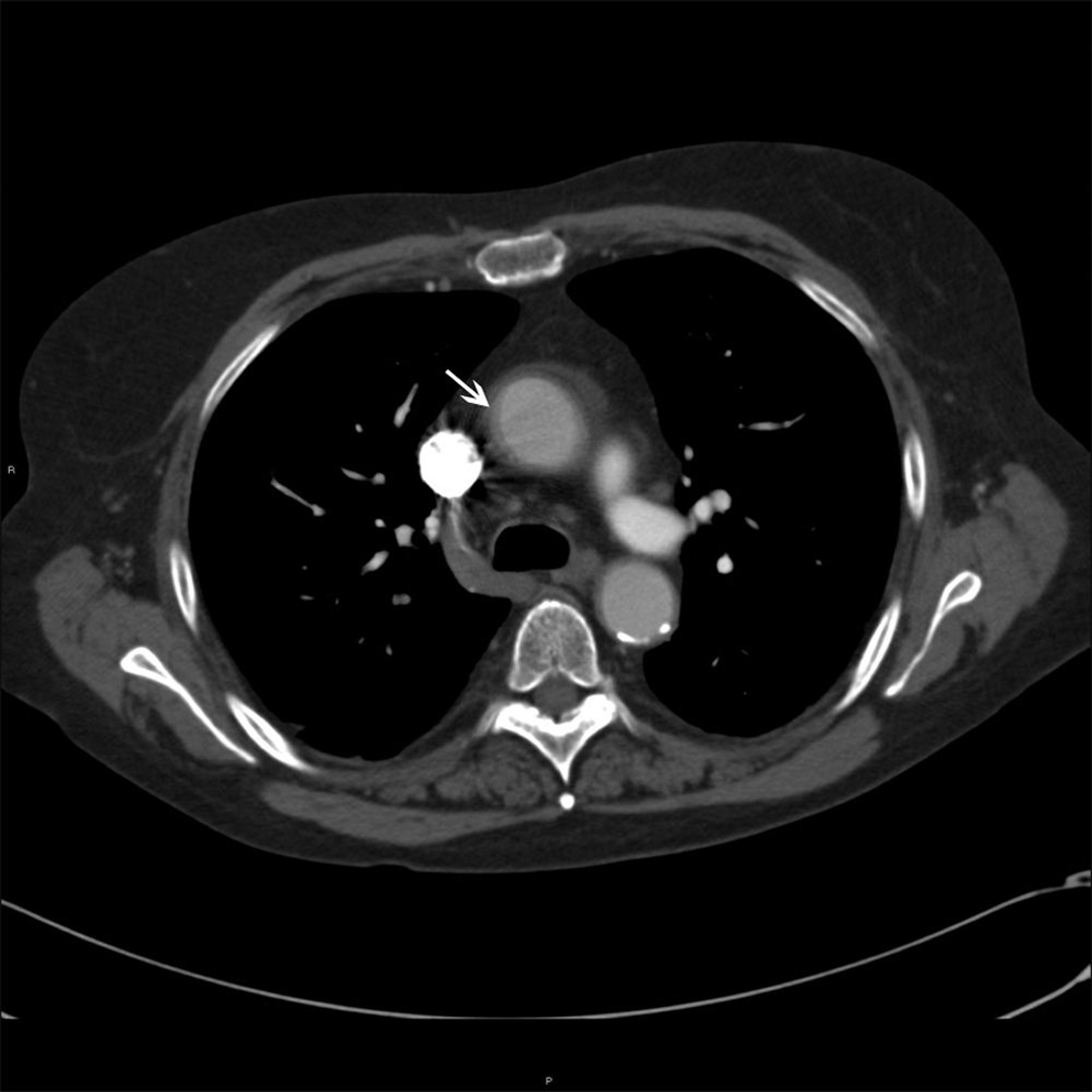
Esta foto mostra o espessamento mural (seta branca) da aorta ascendente em um paciente com arterite de Takayasu.
© 2017 Elliot K. Fishman, MD.
Nesses tópicos
Esta foto mostra o espessamento mural (seta branca) da aorta ascendente em um paciente com arterite de Takayasu.
© 2017 Elliot K. Fishman, MD.