Antraz (por inalação)
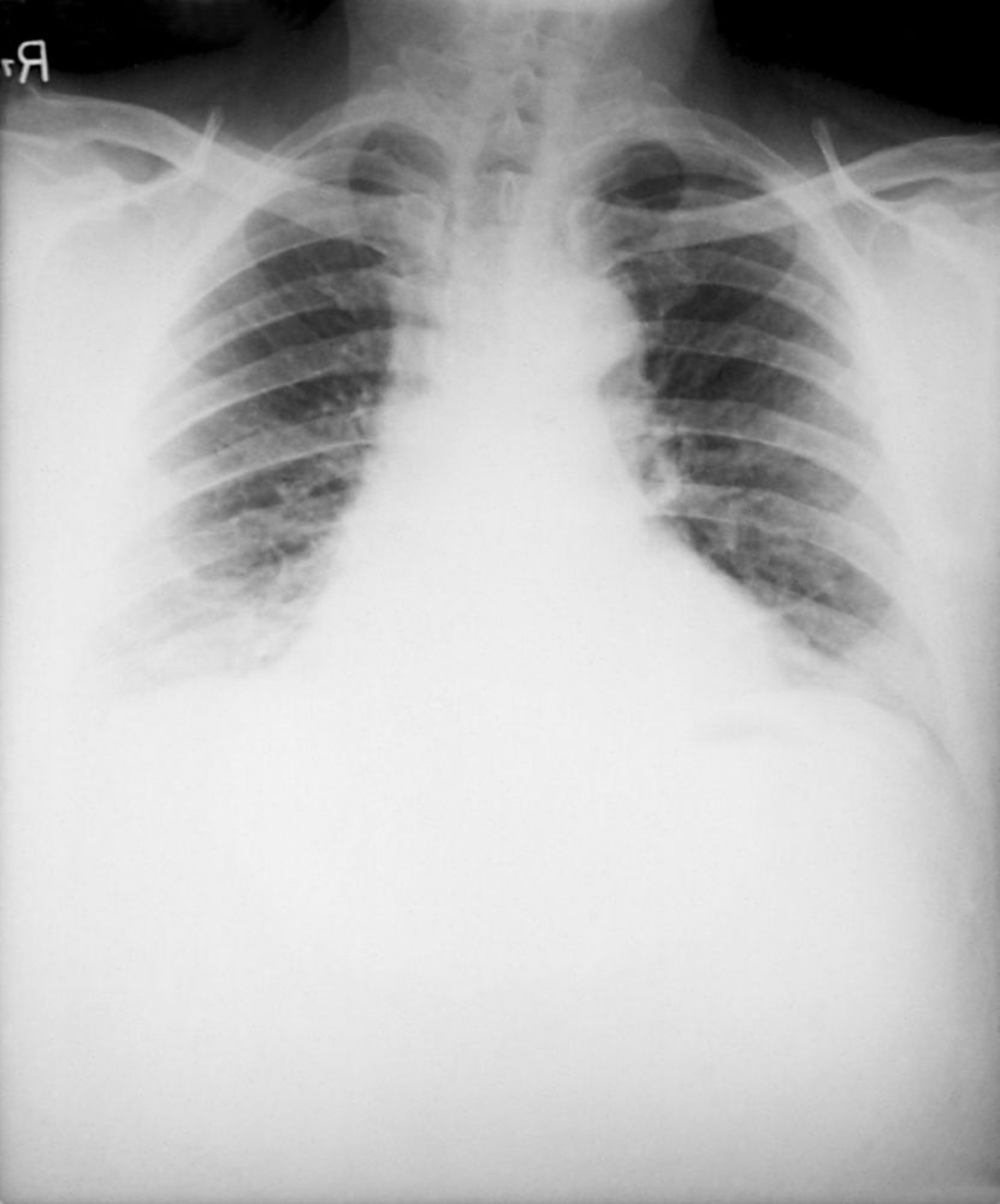
Achados típicos da inalação de antraz na radiografia de tórax são alargamento do mediastino por linfadenite mediastinal necrosante hemorrágica e derrame pleural bilateral. Infiltrados pneumônicos são incomuns.
Imagem cedida por cortesia da Biblioteca de Imagens de Saúde Pública dos Centros de Controle e Prevenção de Doenças.
Nesses tópicos
