Aneurisma da aorta abdominal (TC)
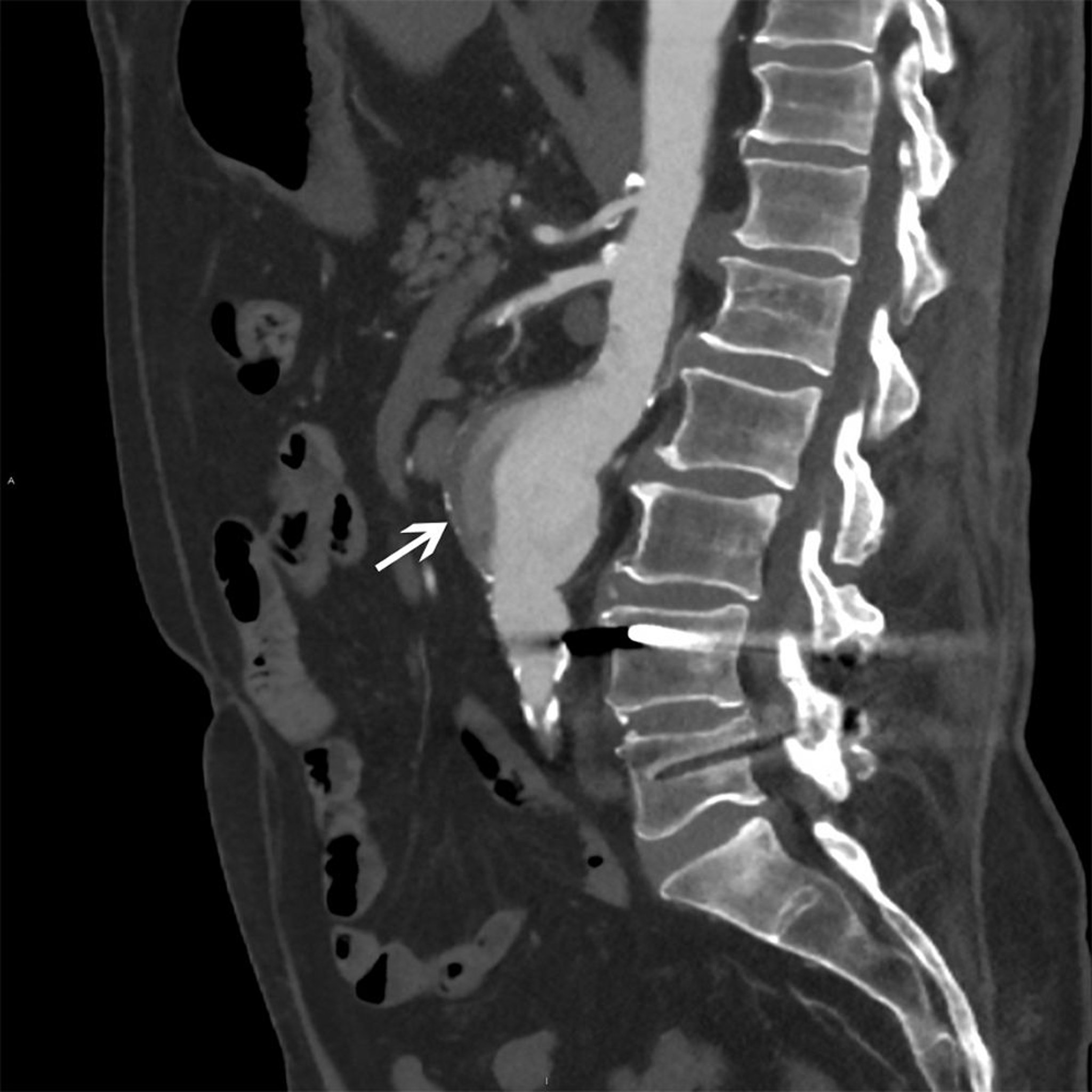
A seta branca mostra um aneurisma aórtico abdominal medindo 5 cm com fluxo heterogêneo e placa mural.
© 2017 Elliot K. Fishman, MD.
Nesses tópicos
A seta branca mostra um aneurisma aórtico abdominal medindo 5 cm com fluxo heterogêneo e placa mural.
© 2017 Elliot K. Fishman, MD.