honeypot link
skip to main content
Profissionais
Doentes
Manual MSD
Versão para Profissionais de Saúde
ASSUNTOS MÉDICOS
RECURSOS
COMENTÁRIO
PROCEDIMENTOS
TESTES
SOBRE
ASSUNTOS MÉDICOS
RECURSOS
<
Imagens
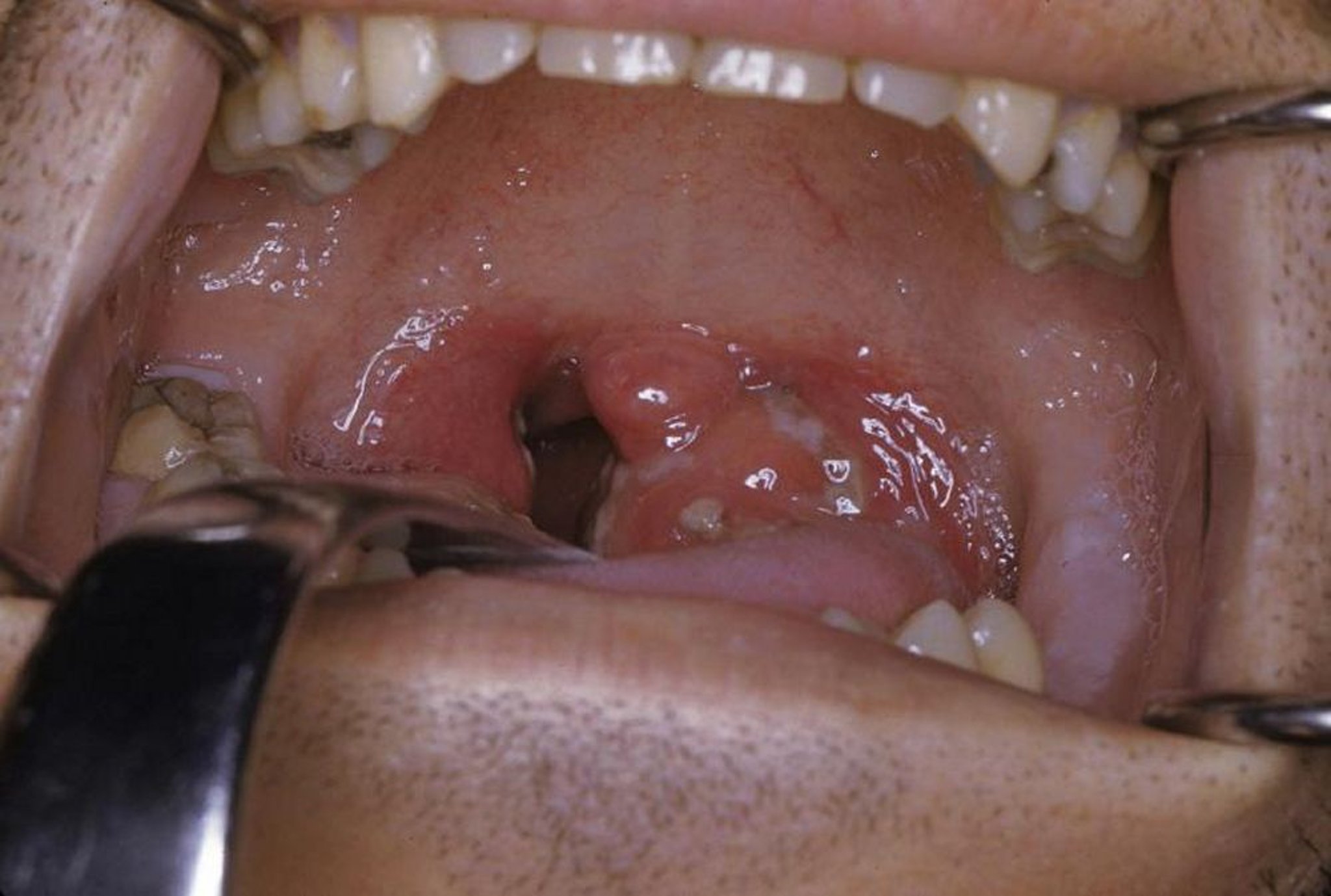
Amigdalite aguda
Esta foto mostra amigdalite aguda com exsudato e eritema.
Foto fornecida por Clarence T. Sasaki, MD.
Nesses tópicos
Faringotonsilite
>