Adenoma pleomórfico na glândula salivar palatal
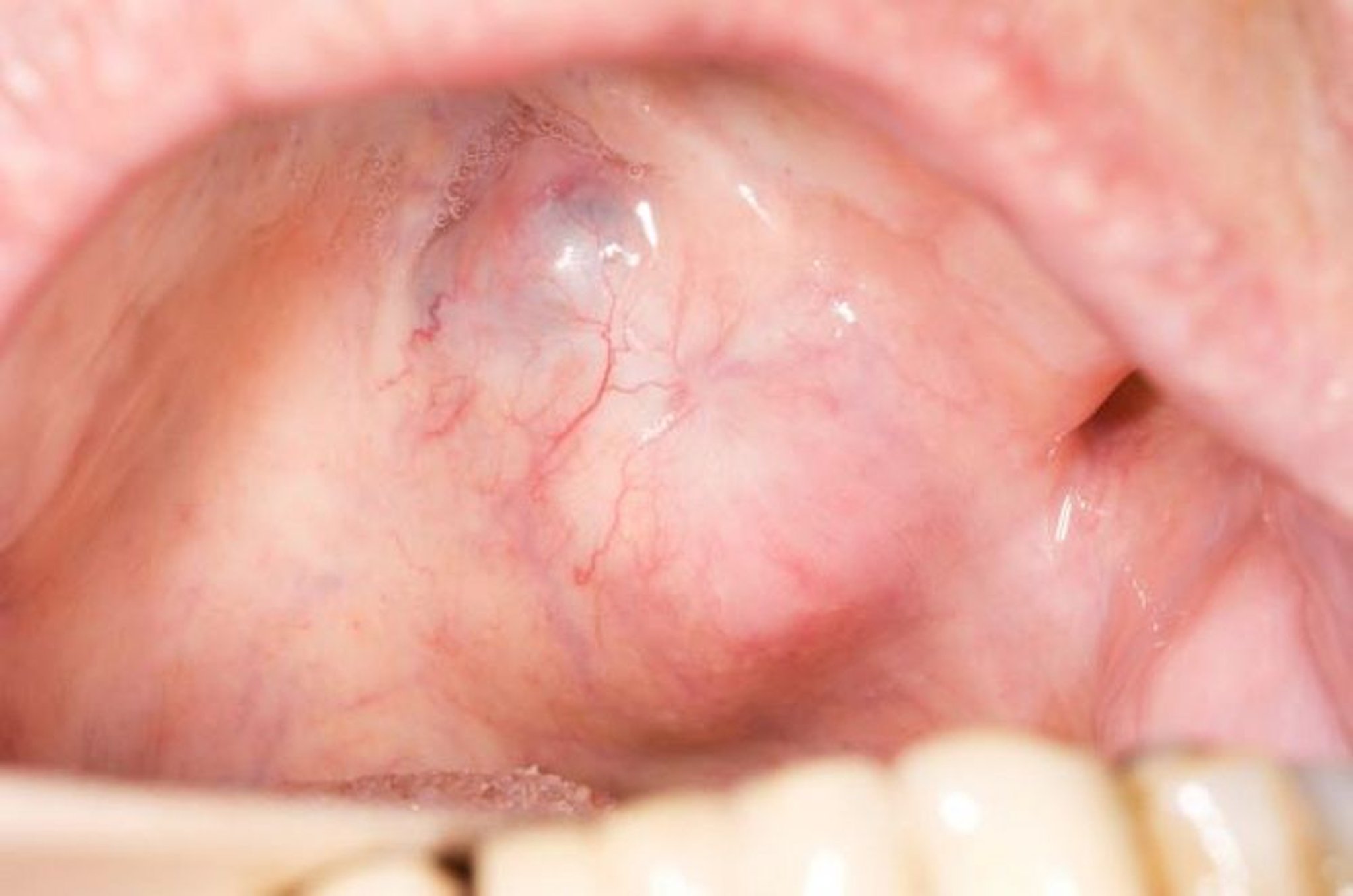
Adenoma pleomórfico é a neoplasia intraoral benigna mais comum. A mucosa palatal é o local mais comum de ocorrência.
DR. P. MARAZZI/SCIENCE PHOTO LIBRARY
Nesses tópicos
Adenoma pleomórfico é a neoplasia intraoral benigna mais comum. A mucosa palatal é o local mais comum de ocorrência.
DR. P. MARAZZI/SCIENCE PHOTO LIBRARY