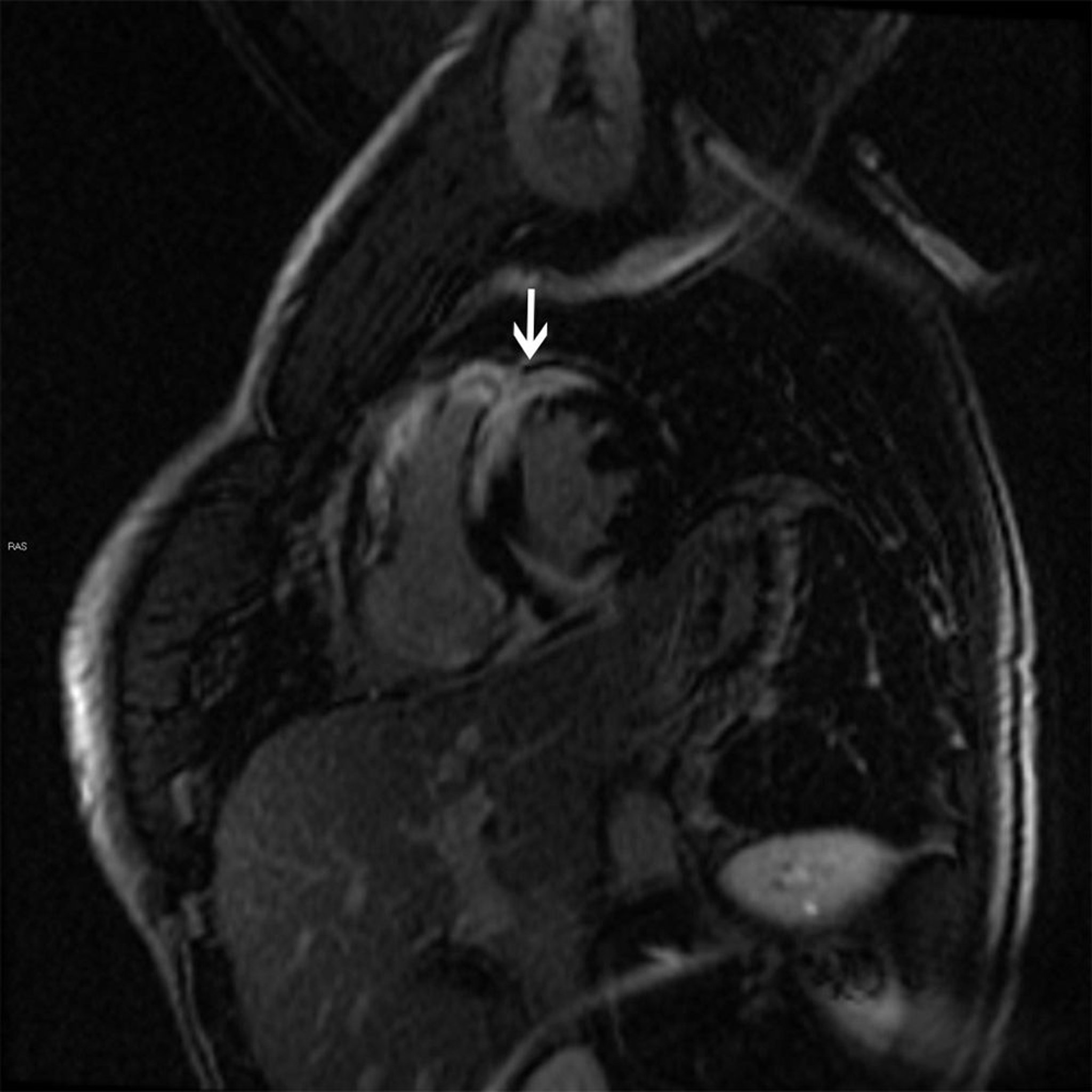
Achados na RM da sarcoidose cardíaca
Essa RM cardíaca mostra um padrão tardio irregular de realce transmural com gadolínio (seta) característico da sarcoidose, que pode causar cardiopatia dilatada ou hipertrófica.
© 2017 Elliot K. Fishman, MD.
Nesses tópicos
