Abscesso cerebelar
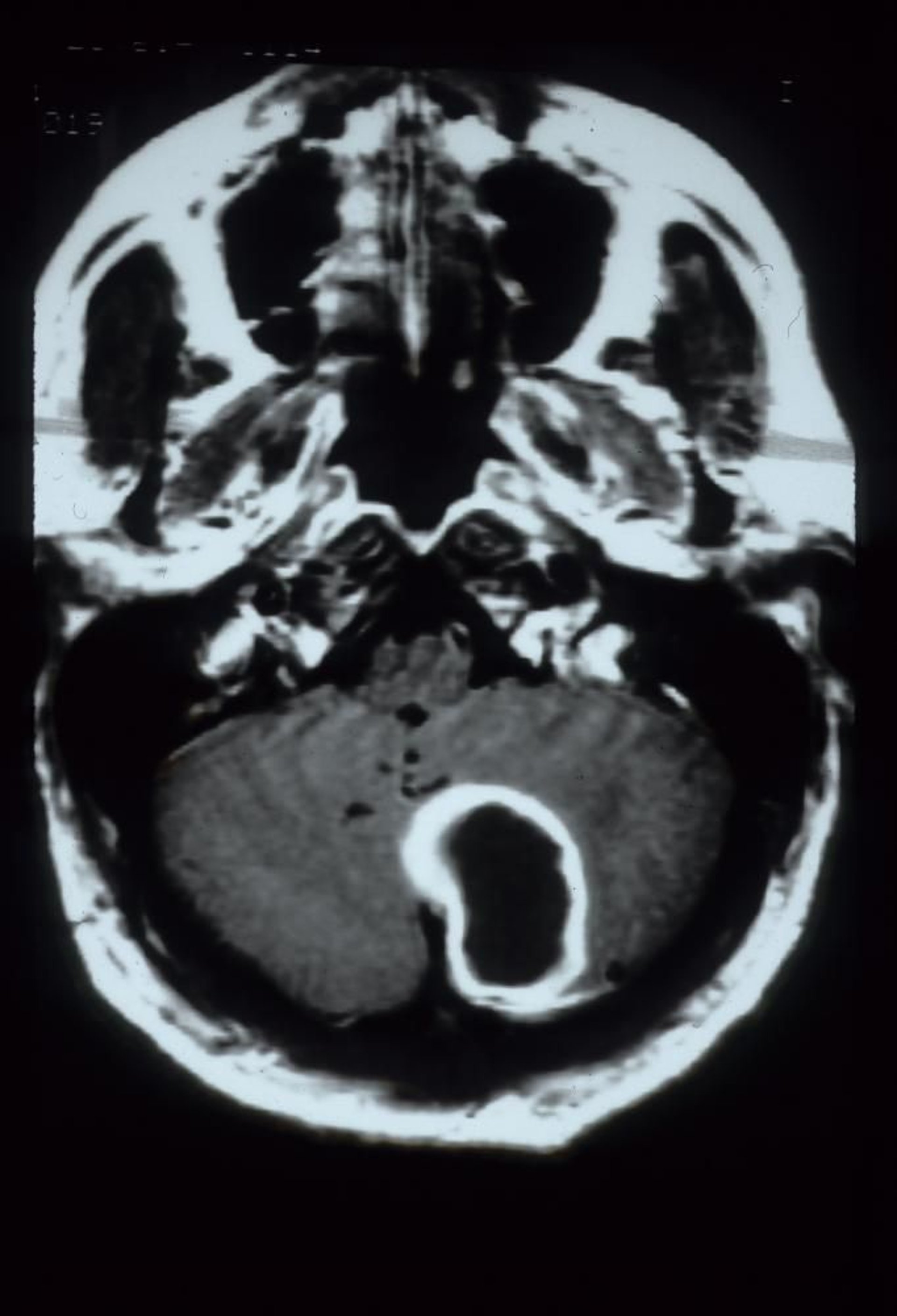
Essa RM com contraste de gadolínio mostra abscesso cerebelar, que aparece como um halo de contraste em uma grande lesão cavitária no hemisfério cerebelar esquerdo.
Courtesy of John E. Greenlee, MD.
Nesses tópicos
Essa RM com contraste de gadolínio mostra abscesso cerebelar, que aparece como um halo de contraste em uma grande lesão cavitária no hemisfério cerebelar esquerdo.
Courtesy of John E. Greenlee, MD.