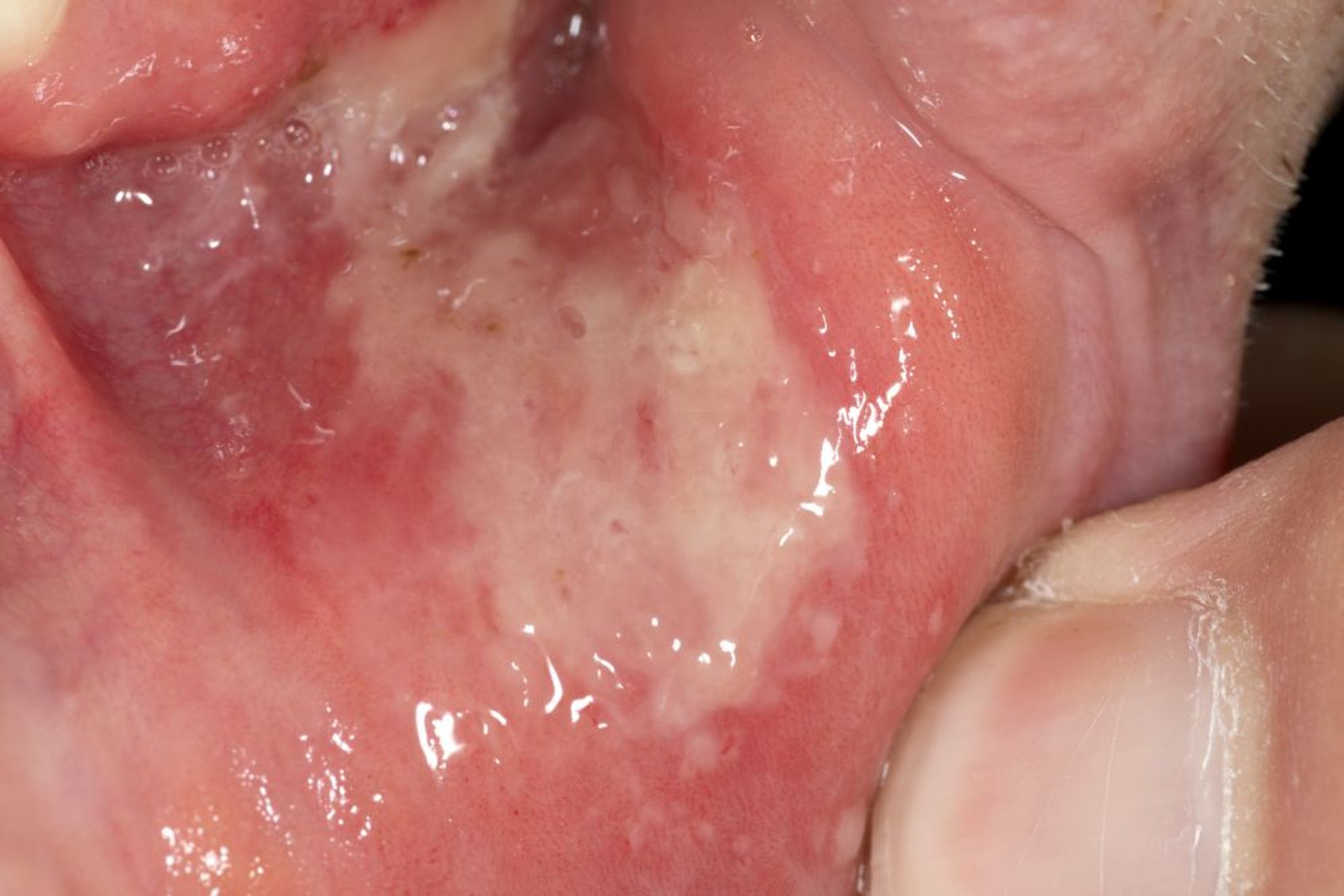
Úlcera aftosa maior
Esta foto mostra uma úlcera aftosa maior (área esbranquiçada) no interior do lábio.
DR P. MARAZZI/SCIENCE PHOTO LIBRARY
Nesses tópicos
Esta foto mostra uma úlcera aftosa maior (área esbranquiçada) no interior do lábio.
DR P. MARAZZI/SCIENCE PHOTO LIBRARY