Fraturas escafoides (naviculares)

PorDanielle Campagne, MD, University of California, San Francisco
Reviewed ByDiane M. Birnbaumer, MD, David Geffen School of Medicine at UCLA
Revisado/Corrigido: modificado mar. 2025
v13387088_pt
Visão Educação para o paciente

Fraturas do escafoide geralmente resultam de hiperextensão do punho. Podem não ser visíveis nas radiografias iniciais. As complicações podem ser graves.

(Ver também Visão geral das fraturas.)

O escafoide é o osso do carpo mais comumente lesado. Fraturas do escafoide usualmente resultam da hiperextensão do punho, geralmente durante uma queda sobre a mão estendida. Podem interromper o suprimento de sangue à porção proximal do escafoide. A osteonecrose é uma complicação comum, mesmo quando o cuidado inicial for ideal, e pode causar deficiência e artrite degenerativa no punho.

Sinais e sintomas das fraturas do escafoide

O aspecto lateral do punho torna-se edemaciado e sensível. Se os pacientes tiverem esses sintomas, deve-se considerar a fratura do escafoide. Os sinais mais específicos incluem

  • Dor durante a compressão do eixo do polegar

  • Dor durante a supinação do punho contra resistência

  • Particularmente, a dor à palpação da tabaqueira anatômica durante o desvio ulnar do punho

A tabaqueira anatômica é palpada distalmente ao rádio, entre o extensor longo do polegar, o extensor curto do polegar e os tendões abdutores longos do polegar.

Diagnóstico das fraturas do escafoide

  • Radiografias

  • RM

  • Se há suspeita de fratura do escafoide e os exames de imagem não forem capazes de estabelecer o diagnóstico, utiliza-se tratamento presuntivo com tala em espiga para o polegar e realiza-se radiografia de acompanhamento

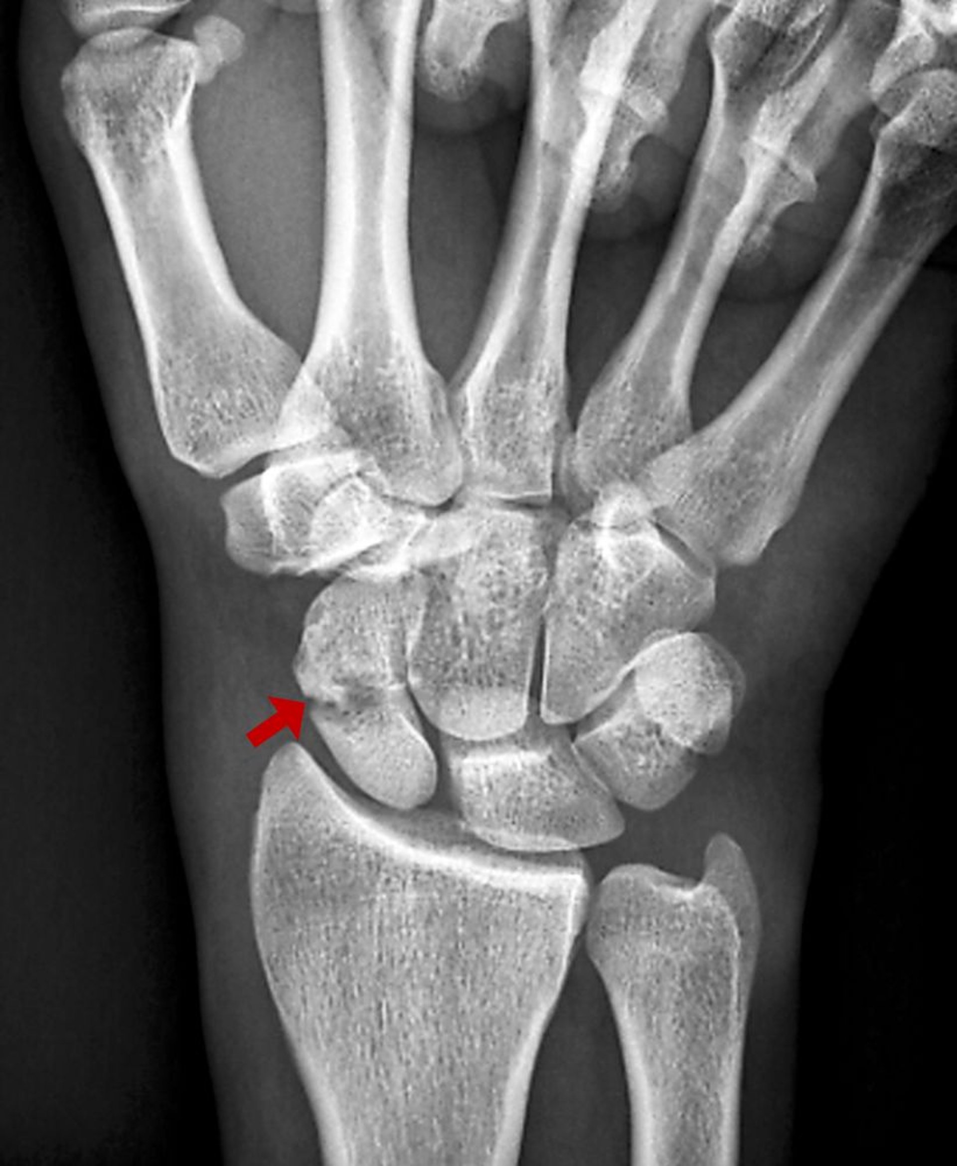
Inicialmente, são feitas radiografias simples (incidências ântero-posterior, lateral e oblíqua), mas estas frequentemente aparecem normais. Apenas cerca de 70% das fraturas do escafoide são vistas nas radiografias iniciais (1).

Se a radiografia for normal mas ainda houver suspeita de fratura, pode-se realizar uma RM. A RM pode ser utilizada para diagnosticar fraturas do escafoide porque é mais precisa do que a TC ou a cintilografia óssea nos quadros agudos (1).

Se há suspeita clínica de fratura e as imagens não são diagnósticas, tratá-la presumivelmente como uma fratura e aplicar uma tala em espiga para o polegar. Deve-se reexaminar o paciente 1 semana após a lesão. Se o paciente ainda sentir dor ou se o punho estiver dolorido à palpação quando examinado após 1 semana da lesão, devem-se obter radiografias repetidas, TC ou RM.

Dicas e conselhos

  • Se os resultados clínicos sugerem fratura do escafoide, fazer RM ou imobilizar o polegar em uma tala com espiga, mesmo se nenhuma fratura for evidente na radiografia.

Tala em oito para o polegar

Referências sobre diagnóstico

  1. 1. Gäbler C, Kukla C, Breitenseher MJ, Trattnig S, Vécsei V. Diagnosis of occult scaphoid fractures and other wrist injuries. Are repeated clinical examinations and plain radiographs still state of the art?. Langenbecks Arch Surg. 2001;386(2):150-154. doi:10.1007/s004230000195

  2. 2. Carpenter CR, Pines JM, Schuur JD, et al. Adult scaphoid fracture. Acad Emerg Med. 21 (2):101–121, 2014. doi: 10.1111/acem.12317

Tratamento das fraturas do escafoide

  • Imobilização do polegar com tala em espiga

Pode-se tratar definitivamente muitas fraturas sem deslocamento com engessamento em espiga para o polegar, utilizado por 6 a 8 semanas. Pode-se utilizar tala em espiga no polegar se for necessário adiar a aplicação de aparelho gessado.

Às vezes, a redução aberta com fixação interna (RAFI) é necessária quando há deslocamento moderado dos segmentos da fratura.

Pontos-chave

  • Fraturas do escafoide usualmente resultam da hiperextensão do punho, geralmente durante uma queda sobre a mão estendida.

  • Essas fraturas podem comprometer o suprimento de sangue da região proximal do escafoide; assim, osteonecrose é uma complicação comum, às vezes incapacitante.

  • Fazer radiografias nas incidências ântero-posterior, perfil e oblíqua; se os exames de imagem são normais ou não diagnósticos e os achados clínicos sugerem fratura do escafoide, fazer uma RM ou imobilizar com tala em espiga para o polegar e providenciar a repetição das radiografias em 1 semana.

quizzes_lightbulb_red
Test your KnowledgeTake a Quiz!
ANDROID iOS
ANDROID iOS
ANDROID iOS