Peste é causada por bactérias Gram-negativas Yersinia pestis. Os sintomas são principalmente pneumonia grave ou linfadenopatia dolorosa com febre alta, progredindo frequentemente para sepse. O diagnóstico é epidemiológico e clínico, confirmado por cultura e sorologia. O tratamento é feito com estreptomicina ou gentamicina; as alternativas são fluoroquinolona ou doxiciclina.
Yersinia pestis (antigamente Pasteurella pestis) é um bacilo curto que na maioria das vezes mostra coloração bipolar (em especial com coloração de Giemsa) e pode se assemelhar a um alfinete de segurança.
Grandes epidemias humanas ocorreram (p. ex., a peste negra na Idade Média, epidemia na Manchúria em 1911).
Mais recentemente, a peste ocorreu de forma esporádica ou em epidemias limitadas.
Nos Estados Unidos, o último surto urbano da peste associada a ratos ocorreu em Los Angeles em 1924 a 1925. Desde então, > 90% dos casos de peste humana nos Estados Unidos ocorrem nas áreas rurais ou semirrurais da região sudoeste, especialmente Novo México, Arizona, Califórnia e Colorado.
Em todo o mundo, a maioria dos casos desde os anos de 1990 ocorreu na África; a República Democrática do Congo e Madagascar são as mais endêmicas. O Peru também é um dos países mais endêmicos. Ao longo das últimas décadas, quase todos os casos ocorreram entre pessoas morando em pequenas cidades e aldeias ou áreas agrícolas, em vez de em grandes cidades.
Transmissão
A peste ocorre principalmente em roedores selvagens (p. ex., ratos, camundongos, esquilos, cachorros-de-pradaria) e é transmitida do roedor ao ser humano pela picada de uma pulga-vetor infectada. A peste também pode ser transmitida através de contato com secreções ou tecidos de um animal infectado.
A transmissão de pessoa para pessoa ocorre pela inalação de fômites de pacientes com infecção pulmonar (peste pneumônica primária), que é altamente contagiosa.
Em áreas endêmicas nos Estados Unidos, vários casos podem ter sido causados por animais de estimação domésticos, especialmente gatos (infectados ao comer roedores infectados). A transmissão a partir de gatos pode ser por meio de mordida ou pulga infectada, se o gato tiver peste pneumônica, por inalação de gotículas respiratórias infectadas.
A peste pneumônica também pode ser transmitida pela exposição em um laboratório ou pela propagação intencional de aerossóis como ato de bioterrorismo.
Sinais e sintomas da peste
Peste tem várias manifestações clinicamente distintas:
Peste bubônica (a mais comum)
Peste pneumônica (primária ou secundária)
Peste septicêmica
Pestis minor
Peste faríngea e meningite por peste são formas menos comuns.
Peste bubônica
Na peste bubônica, a forma mais comum, o período de incubação geralmente é de 2 a 5 dias, mas varia de algumas horas a 12 dias.
O início da febre de 39,5 a 41° C é abrupto, frequentemente acompanhado por calafrios. O pulso pode ser rápido e fino; hipotensão pode ocorrer.
Os linfonodos que drenam o local da inoculação pelas bactérias tornam-se aumentados e sensíveis (bubões) e aparecem logo após a febre. Os linfonodos femoral ou inguinal geralmente são envolvidos, seguidos pelos linfonodos axilares, cervicais, ou múltiplos. Normalmente, os linfonodos estão extremamente sensíveis e endurecidos, cercados de edema considerável. Podem supurar na 2ª semana. A pele por cima é lisa e avermelhada, mas na maioria das vezes não é quente.
Lesão cutânea primária (pápula, pústula, úlcera ou escara) pode se formar no local da picada da pulga.
O paciente pode ficar inquieto, delirante, confuso e sem coordenação. O fígado e o baço podem estar aumentados.
Como as bactérias podem se disseminar pela corrente sanguínea para outras partes do corpo, a peste bubônica pode ser complicada por peste pneumônica hematogênica (secundária).
A taxa de letalidade para pacientes não tratados com peste bubônica é de aproximadamente 60% (1), de modo que a maioria dos óbitos por sepsia ocorre em 3 a 5 dias.
O bubão, um linfonodo aumentado, doloroso e firme é causado pela infecção por Yersinia pestis (peste). Esta fotografia mostra um bubão femoral.
O bubão, um linfonodo aumentado, doloroso e firme é causado pela infecção por Yersinia pestis (peste). Esta fotografia
Photo courtesy of Drs. Margaret Parsons and Karl F. Meyer via the Public Health Image Library of the Centers for Disease Control and Prevention.
O bubão, um linfonodo aumentado, doloroso e firme é causado pela infecção por Yersinia pestis (peste). Esta fotografia mostra um bubão inguinal edemaciado.
O bubão, um linfonodo aumentado, doloroso e firme é causado pela infecção por Yersinia pestis (peste). Esta fotografia
Photo courtesy of the Public Health Image Library of the Centers for Disease Control and Prevention.
O bubão, um linfonodo aumentado, doloroso e firme é causado pela infecção por Yersinia pestis (peste). Esta fotografia mostra um bubão axilar.
O bubão, um linfonodo aumentado, doloroso e firme é causado pela infecção por Yersinia pestis (peste). Esta fotografia
Photo courtesy of Drs. Margaret Parsons and Karl F. Meyer via the Public Health Image Library of the Centers for Disease Control and Prevention.
Peste pneumônica
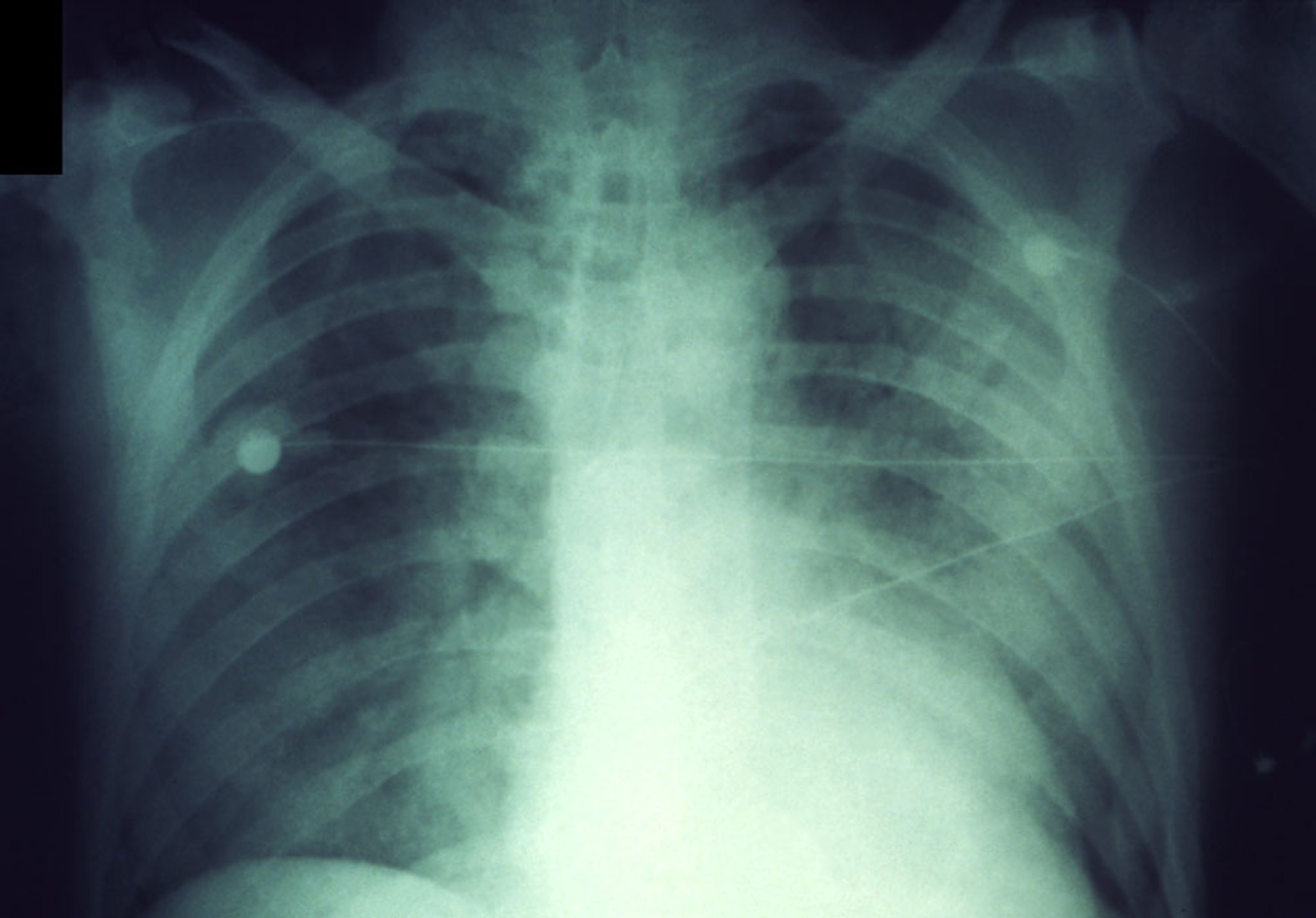
A peste pneumônica primária tem 2 a 3 dias de período de incubação, seguidos por início abrupto de febre alta, calafrios, taquicardia, dor no peito e cefaleia, frequentemente graves. Tosse, não importante no início, desenvolve-se em 24 horas. O escarro é a princípio mucoide, logo desenvolve estrias de sangue e então se torna uniformemente rosa ou vermelho-brilhante (semelhante a xarope de framboesa) e espumoso. Taquipneia e dispneia estão presentes, ao contrário de pleurisia. Sinais de consolidação são raros e estertores podem estar ausentes.
Inicialmente, radiografias de tórax mostram pneumonia lobar seguida de consolidação densa e disseminação broncopneumônica para outras áreas do mesmo pulmão ou do pulmão oposto.
A peste pneumônica primária não tratada é quase sempre fatal (1), e o risco de morte permanece significativamente elevado quando o tratamento não é iniciado em 24 horas após o início dos sintomas.
A peste pneumônica secundária é mais comum do que a primária e resulta da disseminação hematogênica de organismos provenientes de um bubão ou outros focos de infecção.
Peste septicêmica
A sepse por peste pode ocorrer na forma bubônica ou sem forma bubônica (chamada de peste primária septicêmica), como uma doença aguda e fulminante.
Dor abdominal, presumivelmente decorrente de linfadenopatia mesentérica, ocorre em muitos pacientes (2). Alguns pacientes apresentam diarreia. Por fim, apresenta coagulopatia intravascular disseminada, gangrena das extremidades (daí o nome Morte Negra) e falência múltipla dos órgãos.
A peste septicêmica pode ser fatal antes de manifestações bubônicas ou pulmonares importantes.
Pestis minor
A peste menor, uma forma mais benigna da peste bubônica, geralmente ocorre somente em áreas endêmicas.
Linfadenite, febre, cefaleia e prostração cedem dentro de uma semana.
Referência sobre sinais e sintomas
1. Prentice MB, Rahalison L. Plague. Lancet. 2007;369(9568):1196-1207. doi:10.1016/S0140-6736(07)60566-2
2. Hull HF, Montes JM, Mann JM. Plague masquerading as gastrointestinal illness. West J Med. 1986;145(4):485-487.
Diagnóstico da peste
Coloração, culturas, sorologia e PCR (reação em cadeia da polimerase)
O diagnóstico rápido da peste é importante porque a mortalidade aumenta de modo significativo quanto mais tempo o tratamento é postergado.
O diagnóstico é feito por coloração e cultura do microrganismo, tipicamente por meio da aspiração com agulha de um bubão (a drenagem cirúrgica pode disseminar o microrganismo); também devem ser obtidas amostras de sangue e escarro para culturas.
Outros testes incluem imunofluorescência com coloração e sorologia; um título > 1:16 ou uma elevação de 4 vezes entre os títulos agudos e convalescentes é positivo. O teste PCR, se disponível, confirma o diagnóstico (1).
Uma vacinação anterior não exclui a peste; doença clínica pode ocorrer em pessoas vacinadas.
O laboratório deve ser informado se houver suspeita de peste para assegurar o manuseio adequado das amostras e evitar possível transmissão. Como Y. pestis pode ser utilizada como uma arma biológica, as autoridades apropriadas devem ser informadas quando a peste pneumônica é diagnosticada ou considerada.
Essa radiografia de tórax mostra infiltrados rapidamente progressivos na peste pneumônica.
CDC/Dr. Jack Poland
Pacientes com sintomas ou sinais pulmonares devem realizar radiografia de tórax, que mostra pneumonia rapidamente progressiva em peste pneumônica. A contagem de leucócitos geralmente é de 10.000 a 20.000/mcL (10 a 20 × 109/L), com numerosos neutrófilos imaturos.
Uma vacinação anterior não exclui a peste; doença clínica pode ocorrer em pessoas vacinadas.
(Ver também World Health Organization's guidelines for plague management: revised recommendations for the use of rapid diagnostic tests, fluoroquinolones for case management and personal protective equipment for prevention of post-mortem transmission e ver Centros de Controle e Prevenção de Doenças's Plague: CDC Yellow Book 2024.)
Referência sobre diagnóstico
1. Zhang Y, Wang Z, Wang W, Yu H, Jin M. Applications of polymerase chain reaction-based methods for the diagnosis of plague (Review). Exp Ther Med. 2022;24(2):511. Published 2022 Jun 14. doi:10.3892/etm.2022.11438
Tratamento da peste
Estreptomicina ou gentamicina
Alternativamente, doxiciclina, ciprofloxacina, levofloxacina, moxifloxacino, ou cloranfenicol
Antes dos antibióticos (1900–1941), a letalidade entre os infectados pela peste nos Estados Unidos foi de 66%. Em 1990–2010, o tratamento antibiótico da peste reduziu a letalidade para 11% (1).
Na peste septicêmica ou pneumônica, o tratamento deve começar em 24 horas com 1 dos seguintes esquemas se a função renal for normal (2):
Estreptomicina, 1 g IV ou IM 2 vezes ao dia
Gentamicina, 5 mg/kg, IM ou IV uma vez ao dia (ou dose de ataque de 2 mg/kg seguida de 1,7 mg/kg a cada 8 horas)
Administra-se o antibiótico por 10 dias ou até 3 dias após a temperatura retornar ao nível normal. Doxiciclina, 200 mg, dose de ataque IV ou oral, então 100 mg IV ou oral, a cada 12 horas por 14 dias é uma alternativa. Ciprofloxacina, levofloxacina, moxifloxacino, e cloranfenicol também são eficazes.
Cloranfenicol é preferido para os pacientes com infecção de terceiro espaço em que outros antibióticos penetram mal (p. ex., meningite por peste, endoftalmite). Cloranfenicol deve ser administrado em uma dose-ataque de 25 mg/kg, IV seguida por 12,5 mg/kg, IV ou por via oral, a cada 6 horas (3).
Rotinas de precauções de isolamento são adequadas para pacientes com peste bubônica. Aqueles com peste pneumônica primária ou secundária requerem isolamento respiratório rigoroso e precauções contra gotículas.
Para peste bubônica ou faríngea, pode-se utilizar doxiciclina, bem como antibióticos para tratar peste septicêmica ou pneumônica.
(Ver também o [CDC] 2007 Guideline for Isolation Precautions: Preventing Transmission of Infectious Agents in Healthcare Settings dos Centros de Controle e Prevenção de Doenças.)
Referências sobre tratamento
1. CDC: What is the death rate of plague? Accessed March 22, 2024.
2. Nelson CA, Meaney-Delman D, Fleck-Derderian S, et al: Antimicrobial treatment and prophylaxis of plague: Recommendations for naturally acquired infections and bioterrorism response. MMWR Recomm Rep 70(3);1–27, 2021. doi:10.15585/mmwr.rr7003a1
3. Nelson CA, Meaney-Delman D, Fleck-Derderian S, et al. Antimicrobial Treatment and Prophylaxis of Plague: Recommendations for Naturally Acquired Infections and Bioterrorism Response. MMWR Recomm Rep. 2021;70(3):1-27. Published 2021 Jul 16. doi:10.15585/mmwr.rr7003a1
Prevenção da peste
Todos os contatos de peste pneumônica devem ficar sob vigilância médica. A temperatura deve ser medida a cada 4 horas, durante 6 dias. Eles e outros em contato próximo com pacientes com peste pneumônica ou em contato direto com secreções fisiológicas ou tecidos infectados devem receber profilaxia oral por 7 dias com (1)
100 mg de doxiciclina por via oral a cada 12 horas
Ciprofloxacino 500 mg por via oral a cada 12 horas
Para crianças < 8 anos de idade, sulfametoxazol-trimetoprima (SMX-TMP) 20 mg/kg, (do componente sulfametoxazol) a cada 12 horas
Levofloxacina tomada durante 7 dias é uma alternativa.
Vacinas contra peste (com células inteiras mortas e atenuadas vivas) não mais está disponível nos Estados Unidos.
Roedores devem ser controlados e repelentes devem ser utilizados para minimizar picadas de pulgas.
Referência sobre prevenção
1. World Health Organization: WHO guidelines for plague management: revised recommendations for the use of rapid diagnostic tests, fluoroquinolones for case management and personal protective equipment for prevention of post-mortem transmission. World Health Organization. License: CC BY-NC-SA 3.0 IGO
Pontos-chave
A peste é uma infecção altamente contagiosa com risco de vida agora presente nos Estados Unidos principalmente nas áreas rurais ou semirrurais da região sudoeste do país; em todo o mundo, a maioria dos casos desde os anos de 1990 ocorreu na África.
A peste pode causar linfadenopatia dolorosa, às vezes, supurativa (bubões), infecção pulmonar grave e/ou sepse.
O diagnóstico rápido utilizando coloração e cultura do organismo é importante porque a mortalidade aumenta de modo significativo quanto mais tempo o tratamento é postergado.
Colocar os pacientes com peste pneumônica em isolamento respiratório estrito; isolamento de rotina é adequado para aqueles com outras formas da doença.
Tratar com estreptomicina ou gentamicina; alternativas aceitáveis incluem doxiciclina, ciprofloxacino, levofloxacino e cloranfenicol.
Monitorar contatos próximos com cuidado e tratá-los profilaticamente com doxiciclina, ciprofloxacino ou levofloxacino, e tratar as crianças com sulfametoxazol-trimetoprima (SMX-TMP); a vacina contra a peste não mais está disponível nos Estados Unidos.
Informações adicionais
Os recursos em inglês a seguir podem ser úteis. Observe que este Manual não é responsável pelo conteúdo desses recursos.
Centers for Disease Control and Prevention (CDC): Guideline for Isolation Precautions: Preventing Transmission of Infectious Agents in Healthcare Settings (2007)
World Health Organization: Guidelines for plague management: revised recommendations for the use of rapid diagnostic tests, fluoroquinolones for case management and personal protective equipment for prevention of post-mortem transmission
Outras infecções por Yersinia
Yersinia enterocolitica e Y. pseudotuberculosis são zoonoses que ocorrem em todo o mundo e são adquiridas pela ingestão ou manipulação de alimentos contaminados (mais comumente alimentos contendo porco cru ou mal cozido e leite ou produtos lácteos não pasteurizados) ou água e, ocasionalmente, pelo contato com animais.
Y. enterocolitica é uma causa comum de doença diarreica e adenite mesentérica que, clinicamente, imita a apendicite. Y. pseudotuberculosis geralmente causa adenite mesentérica e está incriminada em casos de nefrite intersticial, síndrome hemolítico-urêmica e uma doença semelhante à febre escarlate. Ambas as espécies podem causar faringite, sepse, infecções focais em múltiplos órgãos, eritema nodoso pós-infecção e artrite reativa. Em pacientes com doença hepática crônica ou sobrecarga de ferro, a letalidade por sepse pode ser tão alta quanto 50%, até mesmo com tratamento (1).
Os microrganismos podem ser identificados em culturas-padrão, geralmente de locais estéreis. São necessários métodos de cultura seletivos para amostras não estéreis, como cultura de fezes para doença diarreica. É importante notificar o laboratório quando se suspeita de infecção por Yersinia nas fezes, de modo que um meio de cultura especial possa ser utilizado. Testes sorológicos estão disponíveis, mas são difíceis e não padronizados. O diagnóstico, em particular da artrite reativa, requer um alto índice de suspeita e estreita comunicação com o laboratório clínico.
O tratamento de diarreia é de suporte porque a doença é autolimitada. Complicações sépticas necessitam de antibióticos resistentes à betalactamase guiados por testes de sensibilidade. Cefalosporinas de terceira geração, fluoroquinolonas e sulfametoxazol-trimetoprima (SMX-TMP) são preferíveis.
A prevenção focaliza o preparo e a manipulação de alimentos, animais de estimação domésticos e epidemiologia de surtos suspeitos.
Referência
1. Saebø A, Lassen J. Survival and causes of death among patients with Yersinia enterocolitica infection. A Norwegian 10-year follow-up study on 458 hospitalized patients. Scand J Infect Dis. 1992;24(5):613-617. doi:10.3109/00365549209054647



