O sarampo é uma infecção viral muito contagiosa que causa sintomas variados semelhantes a gripe e uma erupção cutânea característica. Ele pode causar complicações graves e pode ser fatal para algumas pessoas. A vacinação é eficaz para a prevenção.
O sarampo é causado por um vírus.
Os sintomas incluem febre, corrimento nasal, tosse seca, olhos vermelhos e uma erupção cutânea vermelha.
O diagnóstico geralmente é baseado nos sintomas típicos, como erupções cutâneas ou manchas brancas características na garganta.
Exames laboratoriais são realizados para confirmar o diagnóstico de sarampo em pessoas que apresentam sintomas consistentes e naquelas com fatores de risco para exposição ao sarampo.
Não existe medicamento antiviral para o sarampo, portanto, o tratamento tem como objetivo aliviar os sintomas.
Crianças com sarampo podem ser tratadas com vitamina A.
Embora a maioria das pessoas se recupere, o sarampo pode ser fatal ou causar danos cerebrais.
Vacinação rotineira previne a infecção.
As infecções por sarampo são incomuns em áreas onde a maioria das pessoas recebeu a vacina contra o sarampo. Antes de a vacina contra o sarampo estar amplamente disponível, ocorriam epidemias de sarampo a cada dois ou três anos, especialmente em crianças em idade pré-escolar e escolar. Pequenos surtos locais ocorriam nos outros anos.
O sarampo ainda é comum em alguns países. O sarampo infecta aproximadamente 10 milhões de pessoas ao redor do mundo todos os anos e causa aproximadamente 100 mil mortes, a maioria em crianças.
Nos Estados Unidos, o sarampo não é comum devido à vacinação infantil de rotina. Entre os anos de 2000 e 2010, apenas 71 casos por ano foram informados, em média, aos Centros de controle e prevenção de doenças (CDC).
Em 2019, 1.274 casos de sarampo foram relatados aos CDC. Esse foi o maior número relatado desde 1992. O aumento em 2019 foi causado principalmente por pessoas não vacinadas que foram infectadas em países onde o sarampo é mais comum e, em seguida, viajaram para os Estados Unidos. Em 2020, apenas 13 casos de sarampo foram relatados nos Estados Unidos durante a pandemia global da COVID-19. Entre 2020 e 2023, houve 242 casos relatados combinados e, em 2024, houve 285 casos nos Estados Unidos.
Tanto o número total de casos quanto o número de surtos aumentaram significativamente em 2025. De janeiro a 22 de maio de 2025, foram relatados 1.046 casos e 3 mortes nos Estados Unidos. Houve 14 surtos e 92% dos casos foram associados a um surto. Para comparação, 16 surtos foram relatados para o ano inteiro em 2024.
O número de surtos e casos gerais de sarampo está aumentando porque a taxa de vacinação está diminuindo. A hesitação em vacinação se tornou uma causa mais frequente da diminuição das taxas de vacinação. A hesitação em vacinar ocorre quando os pais adiam ou não consentem que seus filhos recebam algumas ou todas as vacinas recomendadas. Por exemplo, a taxa de vacinação entre crianças no jardim de infância nos Estados Unidos diminuiu de 95,2% no ano escolar de 2019-2020 para 92,7% no ano escolar de 2023–2024.
Transmissão do sarampo
As pessoas geralmente se infectam com sarampo ao inalar gotículas grandes ou pequenas expelidas no ar pela tosse de uma pessoa infectada. As pessoas podem ficar infectadas ao tocar superfícies em que as gotículas caem, mas essa via de infecção é muito menos comum. A maioria das pessoas que não são imunes ao sarampo desenvolvem a infecção após serem expostas ao vírus.
O sarampo é contagioso de 4 dias antes até 4 dias depois do aparecimento da erupção cutânea. As pessoas que têm sarampo podem não perceber que estão infectadas ou contagiosas e podem disseminar a infecção para outras pessoas sem saber.
Viajar para áreas onde o sarampo é comum ou para onde um surto está ativo é um fator de risco para a transmissão do sarampo.
Uma mulher grávida que teve sarampo ou foi vacinada transmite imunidade ao filho na forma de anticorpos que atravessam a placenta. Essa imunidade dura a maior parte dos primeiros 6 a 12 meses de vida. Depois disso, no entanto, as crianças expostas ao vírus do sarampo correm um alto risco de contrair a infecção, a menos que tenham sido vacinadas.
Uma pessoa que teve sarampo desenvolve imunidade e normalmente não pode ser infectada por sarampo novamente. Presume-se também que adultos nascidos antes de 1957 tenham sido expostos ao sarampo e, portanto, estejam imunes.
Sintomas do sarampo
O sarampo é uma infecção viral contagiosa que geralmente se desenvolve em um padrão de tempo típico (os números de dias são aproximados e variam para cada pessoa):
Exposição: É quando uma pessoa entra em contato com o vírus.
Período de incubação: Após a exposição, geralmente leva cerca de 7 a 21 dias (uma média de 11 a 12 dias) para os sintomas começarem. Durante esse tempo, o vírus está no corpo, mas a pessoa não se sente doente.
Pródromo: Essa fase dura cerca de 3 a 7 dias. Sintomas como febre, tosse, coriza e olhos vermelhos aparecem durante esse período, e pequenas manchas brancas podem aparecer na garganta, mas a erupção ainda não se desenvolveu.
Erupções cutâneas: A erupção cutânea pelo sarampo aparece após a fase pródroma e dura cerca de 4 a 7 dias. Ela geralmente começa na face e se espalha para o resto do corpo. Após esse período, a erupção cutânea começa a desaparecer rapidamente. Se não surgirem complicações, a pessoa começa a se sentir melhor.
Os sintomas do sarampo começam cerca de 11 a 12 dias após a pessoa ser exposta ao vírus. A pessoa infectada começa sentindo febre, congestão nasal, tosse seca e apresenta vermelhidão dos olhos.
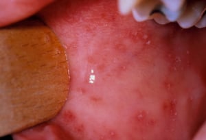
Antes do início da erupção cutânea, podem surgir manchas de Koplik no interior da boca. As manchas de Koplik são pequenas manchas de cor vermelho-vivo com centros brancos ou branco-azulados. Os centros podem se parecer com grãos de areia.
As manchas de Koplik são manchas de cor vermelho-vivo com centros brancos ou azulados que podem se parecer com grãos de areia. Elas podem ocorrer em qualquer parte da boca em pessoas com sarampo.
As manchas de Koplik são manchas de cor vermelho-vivo com centros brancos ou azulados que podem se parecer com grãos de
Imagens por cortesia da Biblioteca de Imagens de Saúde Pública dos Centros de Controle e Prevenção de Doenças.
As manchas de Koplik são manchas de cor vermelho-vivo com centros brancos ou azulados que podem se parecer com grãos de areia. Elas podem ocorrer em qualquer parte da boca em pessoas com sarampo.
As manchas de Koplik são manchas de cor vermelho-vivo com centros brancos ou azulados que podem se parecer com grãos de
DR P. MARAZZI/SCIENCE PHOTO LIBRARY
As manchas de Koplik são manchas de cor vermelho-vivo com centros brancos ou azulados que podem se parecer com grãos de areia. Elas podem ocorrer em qualquer parte da boca em pessoas com sarampo.
As manchas de Koplik são manchas de cor vermelho-vivo com centros brancos ou azulados que podem se parecer com grãos de
DR P. MARAZZI/SCIENCE PHOTO LIBRARY
Uma erupção pruriginosa surge 3 a 7 dias depois de os sintomas começarem. A erupção começa na face, na frente e abaixo das orelhas e dos lados do pescoço. Parecem áreas planas e irregulares que logo se tornam salientes. A erupção cutânea é vermelha em pessoas com pele clara e pode ser arroxeada ou mais escura que a área ao redor em pessoas com pele escura. A erupção se espalha no espaço de um ou dois dias para o tronco, braços, regiões palmares, pernas e solas dos pés e, depois, começa a desaparecer da face. A pele pode descamar após a erupção cutânea no rosto desaparecer.
Esta fotografia mostra a erupção cutânea causada pelo sarampo.
Esta fotografia mostra a erupção cutânea causada pelo sarampo.
Imagem cedida por cortesia da Biblioteca de Imagens de Saúde Pública dos Centros de Controle e Prevenção de Doenças dos EUA.
Esta fotografia mostra a erupção cutânea causada pelo sarampo.
Esta fotografia mostra a erupção cutânea causada pelo sarampo.
SCIENCE PHOTO LIBRARY
Esta fotografia mostra a erupção cutânea causada pelo sarampo.
Esta fotografia mostra a erupção cutânea causada pelo sarampo.
CDC/Bety G. Partin
Quando a infecção é mais grave, a pessoa se sente muito mal e desenvolve inflamação nos olhos (conjuntivite), inchaço e sensibilidade à luz forte; a erupção cutânea é extensa; e a temperatura da pessoa pode exceder 40 °C (104 °F).
Em mais 4 a 7 dias, a temperatura cai, a pessoa começa a se sentir melhor e qualquer erupção cutânea restante desaparece rapidamente. A erupção cutânea adquire uma cor amarronzada e, em seguida, a pele descama.
As pessoas infectadas são contagiosas de 4 dias antes a 4 dias após o início da erupção cutânea.
Complicações do sarampo
Crianças pequenas e pessoas grávidas, desnutridas ou com sistema imunológico enfraquecido correm maior risco de desenvolver complicações decorrentes do sarampo. A infecção pelo sarampo pode levar à supressão imunológica que dura meses a anos após a recuperação do sarampo e pode predispor pessoas previamente infectadas a outras infecções.
As infecções bacterianas associadas ao sarampo, chamadas superinfecções, incluem pneumonia, bronquite e otite média (infecção do ouvido médio).
Pneumonia causada por infecção pelo sarampo nos pulmões ocorre em aproximadamente 6% das pessoas. Em casos fatais de sarampo em bebês, pneumonia é frequentemente a causa da morte.
Inflamação hepática temporária (hepatite) e diarreia podem ocorrer durante uma infecção.
Infecção cerebral (consulte encefalite) ocorre em cerca de uma a cada mil crianças com sarampo. Quando ocorre encefalite, ela costuma começar com febre alta, dor de cabeça, convulsões e coma, geralmente dois dias a duas semanas depois do aparecimento da erupção cutânea. A doença pode ser breve, com recuperação ao fim de cerca de 1 semana, ou pode ser prolongada, resultando em lesões cerebrais ou morte.
Sangramento excessivo pode ocorrer depois de a infecção pelo sarampo já ter se resolvido, porque os níveis de plaquetas no sangue da pessoa se tornam baixos (trombocitopenia). Normalmente, as pessoas apresentam manchas roxas na pele e sangramento leve, mas ocasionalmente esse sangramento é grave.
A panencefalite esclerosante subaguda é uma complicação rara e fatal do sarampo. Ela causa danos cerebrais e deterioração progressiva do cérebro. Esses sintomas podem se desenvolver até 7 a 10 anos após uma infecção por sarampo e são mais comuns entre pessoas que foram originalmente infectadas pelo sarampo quando crianças pequenas (menos de 5 anos de idade).
Diagnóstico do sarampo
Avaliação médica
Exames laboratoriais
Os médicos suspeitam de sarampo em pessoas que apresentam os sintomas típicos de resfriado, manchas de Koplik e erupções cutâneas características.
Os médicos confirmam o diagnóstico coletando amostras de sangue, urina, nariz e garganta e enviando-as a um laboratório para análise. Esses testes são especialmente úteis para diagnosticar pessoas que apresentam sintomas e que também não foram vacinadas ou não foram completamente vacinadas ou que foram recentemente expostas ao vírus do sarampo.
Tratamento do sarampo
Vitamina A para crianças
Medicamentos para reduzir a febre
Às vezes, antibióticos se houver desenvolvimento de infecção bacteriana
Não existe medicamento antiviral para tratar o sarampo.
As pessoas infectadas que são hospitalizadas devem ser colocadas em quartos especiais do hospital e isoladas de outras pessoas durante a doença. As pessoas infectadas que não estão hospitalizadas devem limitar, rigorosamente, o contato com outras pessoas durante a doença.
Os médicos administram vitamina A a todas as crianças com sarampo porque a vitamina A demonstrou reduzir o número de mortes e infecções graves resultantes do sarampo em países onde a deficiência de vitamina A é comum.
Para reduzir a febre, pode ser administrado paracetamol ou ibuprofeno.
Antibióticos podem ser administrados a pessoas que desenvolvem outras infecções causadas por bactérias, como uma infecção de ouvido.
Prognóstico do sarampo
Nos Estados Unidos, o sarampo é fatal em cerca de 1 a 3 em cada 1.000 pessoas infectadas. Em todo o mundo, o sarampo é fatal em cerca de 1 em cada 100 pessoas infectadas.
As pessoas infectadas na infância, as pessoas com acesso limitado a cuidados médicos, as pessoas com desnutrição grave e deficiência de vitamina A e as pessoas que desenvolvem pneumonia têm taxas mais elevadas de morte por sarampo.
Consulte também Complicações do sarampo.
Prevenção do sarampo
vacina tríplice viral
Prevenção antes da exposição
As pessoas já infectadas com sarampo no passado estão imunes. Isso inclui todos os adultos nascidos antes de 1957, que são considerados imunes ao sarampo porque provavelmente foram expostos ao vírus.
Duas doses da vacina contra o sarampo são 96% eficazes na prevenção do sarampo. A vacinação contra o sarampo é administrada como parte da vacina combinada contra sarampo, caxumba e rubéola (MMR), que contém vírus vivos, mas atenuados, do sarampo, da caxumba e da rubéola. A vacina tríplice viral é uma das imunizações de rotina da infância e é administrada a crianças na maioria dos países com uma infraestrutura de saúde robusta.
O esquema de vacina tríplice viral de 2 doses foi introduzido em 1989; portanto, adultos nascidos de 1957 a 1989 podem ter recebido apenas uma dose única. Para adultos neste grupo, recomenda-se mais 1 a 2 doses naqueles cujos exames de sangue não mostram que estão imunes e que correm maior risco de infecção (por exemplo, estudantes universitários, profissionais de saúde, viajantes internacionais, contatos de pessoas imunocomprometidas e pessoas com infecção por HIV).
A MMR geralmente proporciona imunidade duradoura e diminuiu os casos de sarampo nos Estados Unidos em 99%.
Em algumas pessoas, a vacinação causa febre leve e erupção cutânea, mas as pessoas não são contagiosas. A vacina tríplice viral não causa o transtorno do espectro autista (consulte Vacina contra sarampo-caxumba-rubéola [MMR]: preocupações sobre o transtorno do espectro autista).
A tríplice viral é uma vacina viva e não é administrada durante a gestação. Ela também não é administrada a certas pessoas que têm um sistema imunológico gravemente enfraquecido ou a pessoas que tiveram uma reação alérgica séria e potencialmente fatal (como uma reação anafilática) a um componente da vacina ou a uma dose anterior da vacina.
Para obter mais informações sobre quem deve e quem não deve receber a vacina tríplice viral, consulte Dose e administração da vacina tríplice viral. Consulte também Efeitos colaterais da vacina tríplice viral MMR.
Tratamento preventivo após a exposição
Crianças (e adultos) expostas ao sarampo e que não têm imunidade podem receber a vacina tríplice viral no prazo de 3 dias após a exposição podendo, então, estar protegidas. Se a vacina não puder ser administrada dentro de 3 dias ou se a pessoa exposta não for elegível para receber a vacina, imunoglobulina é administrada imediatamente (dentro de 6 dias).
As pessoas que receberam imunoglobulina por injeção intramuscular podem receber a vacina tríplice viral 6 meses depois, e as pessoas que receberam imunoglobulina por injeção venosa podem receber a vacina tríplice viral 8 meses depois.



