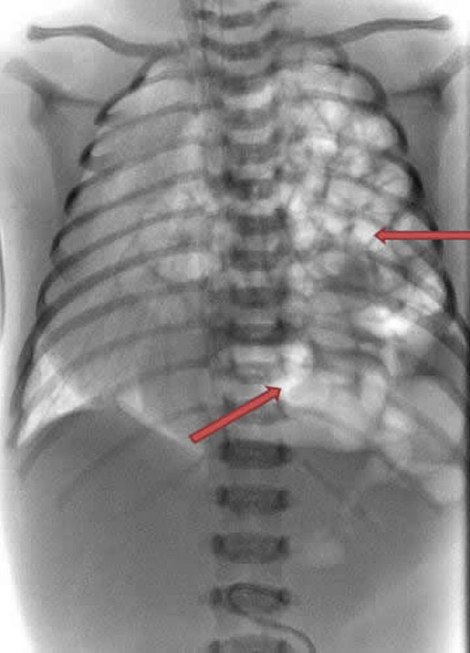
Hérnia diafragmática
Esta radiografia de um recém-nascido mostra que os intestinos (curvaturas brancas) estão saindo pelo lado esquerdo do tórax (setas).
DU CANE MEDICAL IMAGING LTD/SCIENCE PHOTO LIBRARY
Nesses tópicos
Esta radiografia de um recém-nascido mostra que os intestinos (curvaturas brancas) estão saindo pelo lado esquerdo do tórax (setas).
DU CANE MEDICAL IMAGING LTD/SCIENCE PHOTO LIBRARY