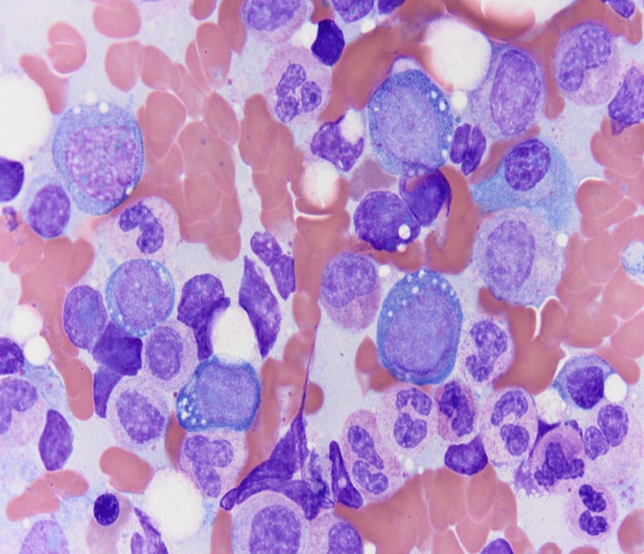
Vacuoles in VEXAS Syndrome
This image shows hypercellular bone marrow with atypical vacuolization in a patient with VEXAS (vacuoles, E1 enzyme, X-linked, autoinflammatory, somatic) syndrome.
Image courtesy of Kinanah Yaseen, MD.
In these topics
This image shows hypercellular bone marrow with atypical vacuolization in a patient with VEXAS (vacuoles, E1 enzyme, X-linked, autoinflammatory, somatic) syndrome.
Image courtesy of Kinanah Yaseen, MD.