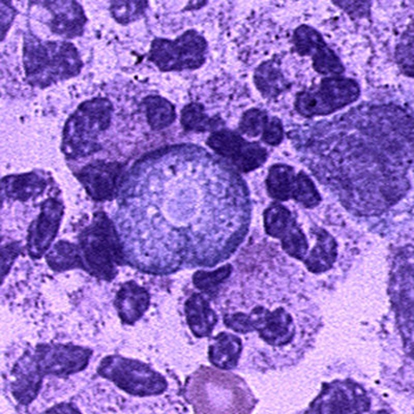
Trophozoite of Naegleria fowleri
This image shows a trophozoite of N. fowleri in cerebrospinal fluid stained with hematoxylin and eosin.
CDC/DPDx
In these topics
This image shows a trophozoite of N. fowleri in cerebrospinal fluid stained with hematoxylin and eosin.
CDC/DPDx