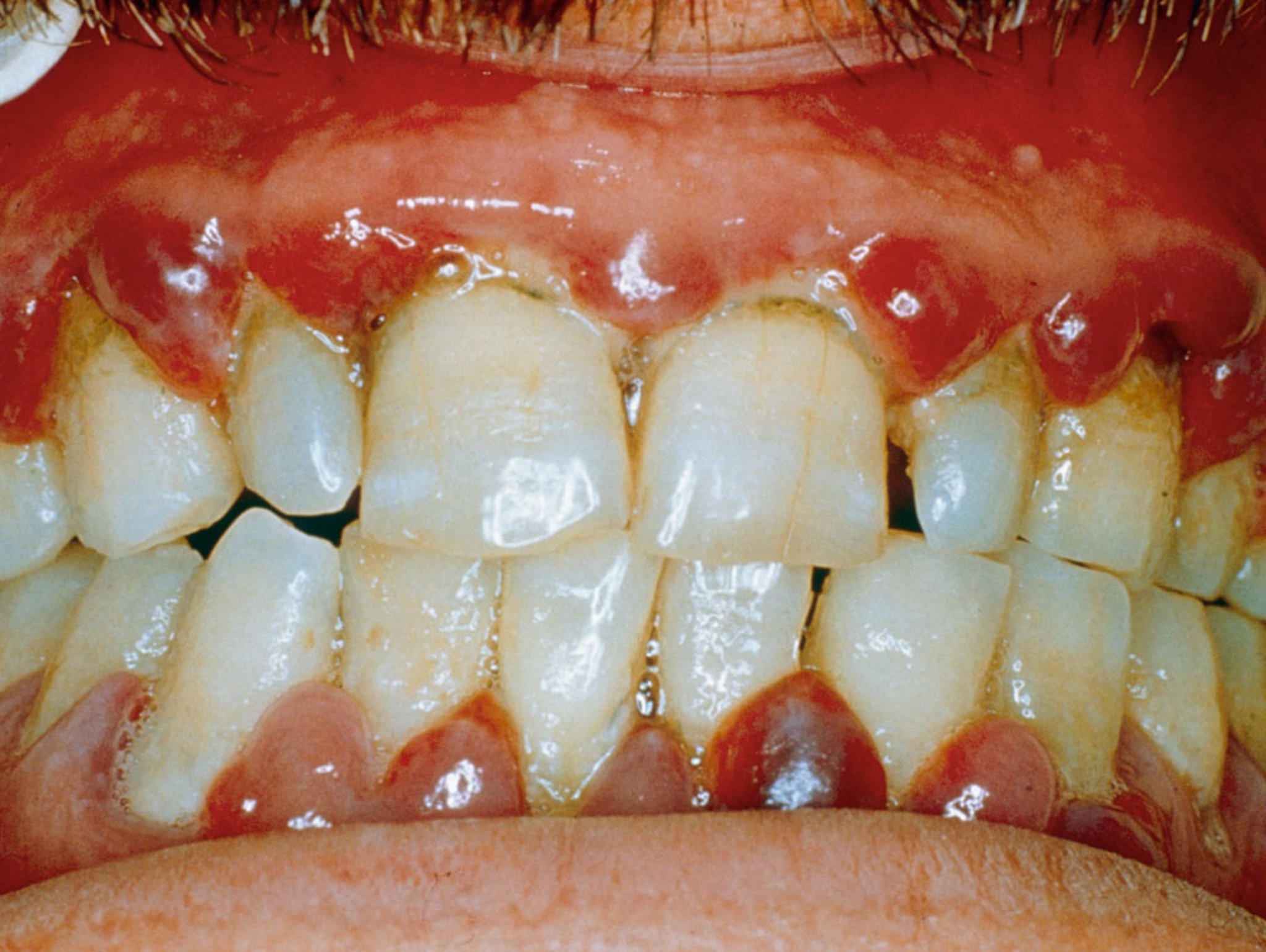
Swollen, Inflamed Gums in Scurvy
This photo shows edematous, purple gingiva in a patient with scurvy.
BIOPHOTO ASSOCIATES/SCIENCE PHOTO LIBRARY
In these topics
This photo shows edematous, purple gingiva in a patient with scurvy.
BIOPHOTO ASSOCIATES/SCIENCE PHOTO LIBRARY