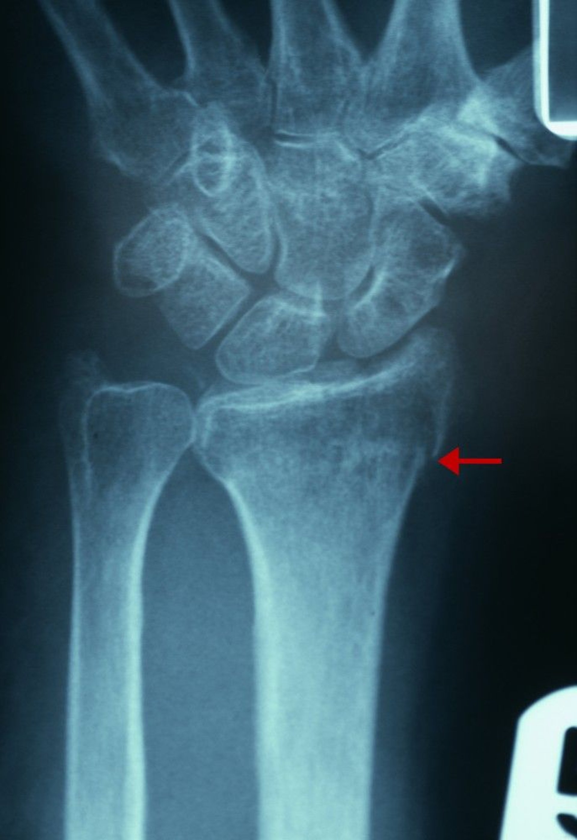
Subtle Distal Radius Fracture
Radiographic evidence of this fracture includes a break in the continuity of the cortex of the radial aspect of the distal radius (arrow) and an increase in trabecular density of the distal radius.
DR P. MARAZZI/SCIENCE PHOTO LIBRARY
In these topics
