Squamous Cell Carcinoma (Gingival Lesions)
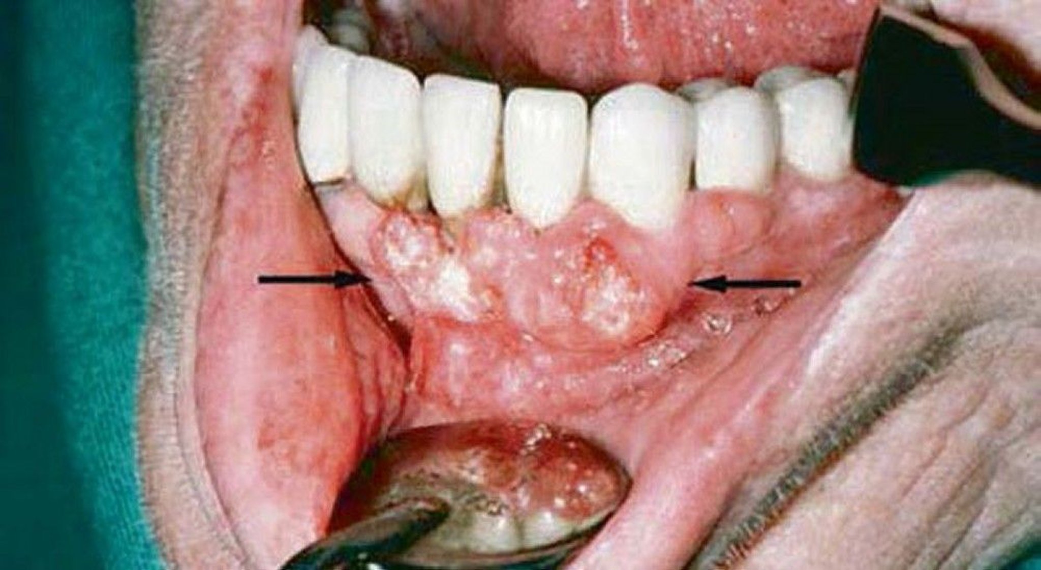
Gingival examination of this patient showed evidence of squamous cell carcinoma. Imaging studies showed invasion of the mandible.
© Springer Science+Business Media
In these topics
Gingival examination of this patient showed evidence of squamous cell carcinoma. Imaging studies showed invasion of the mandible.
© Springer Science+Business Media