Spiral Fracture of the Distal Femur
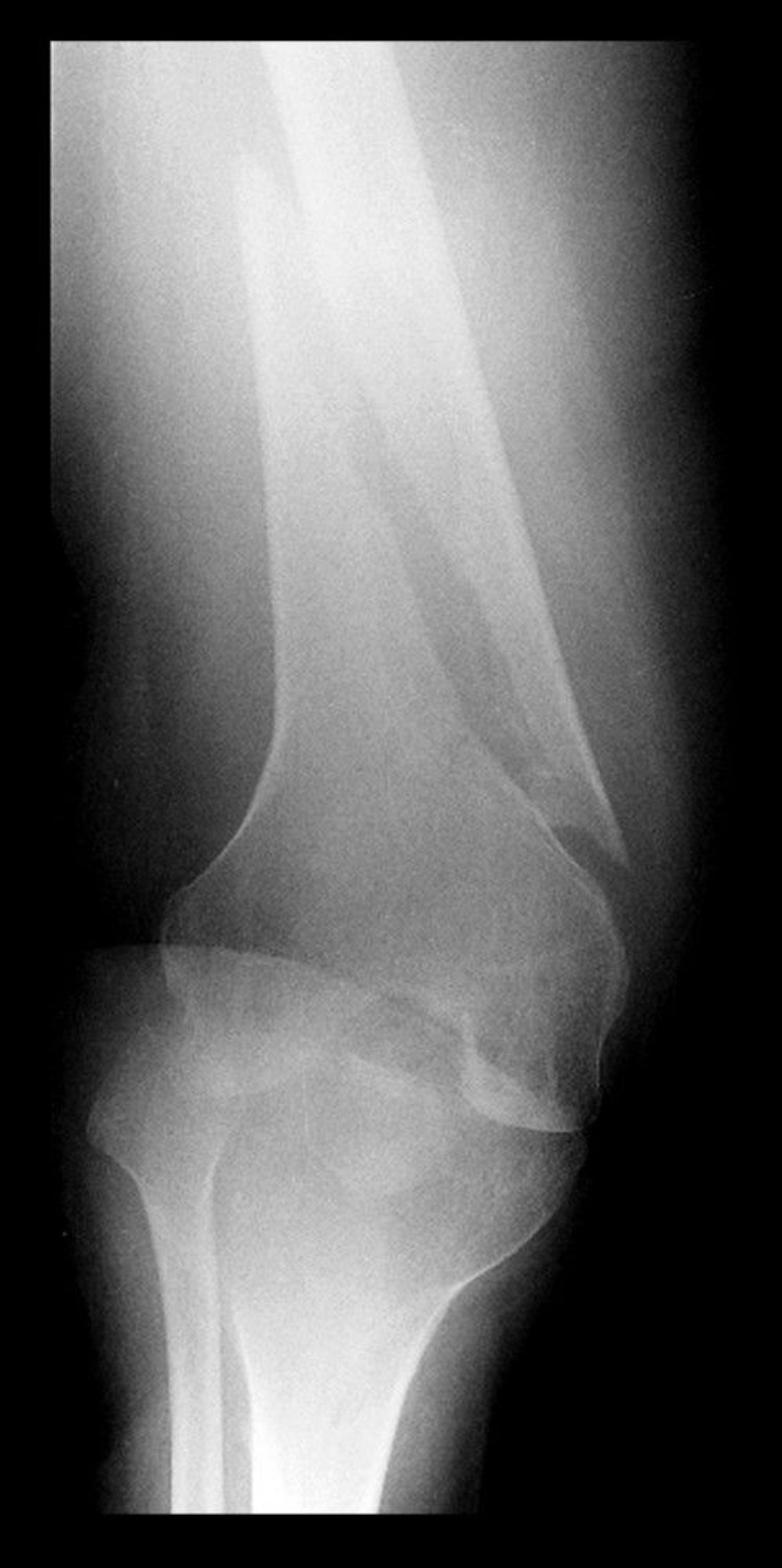
This radiograph of the distal femur shows a lucency with a component parallel to the long axis of the bone, indicating a spiral fracture.
LIVING ART ENTERPRISES/SCIENCE PHOTO LIBRARY
In these topics
This radiograph of the distal femur shows a lucency with a component parallel to the long axis of the bone, indicating a spiral fracture.
LIVING ART ENTERPRISES/SCIENCE PHOTO LIBRARY