Pneumothorax (CT Scan)
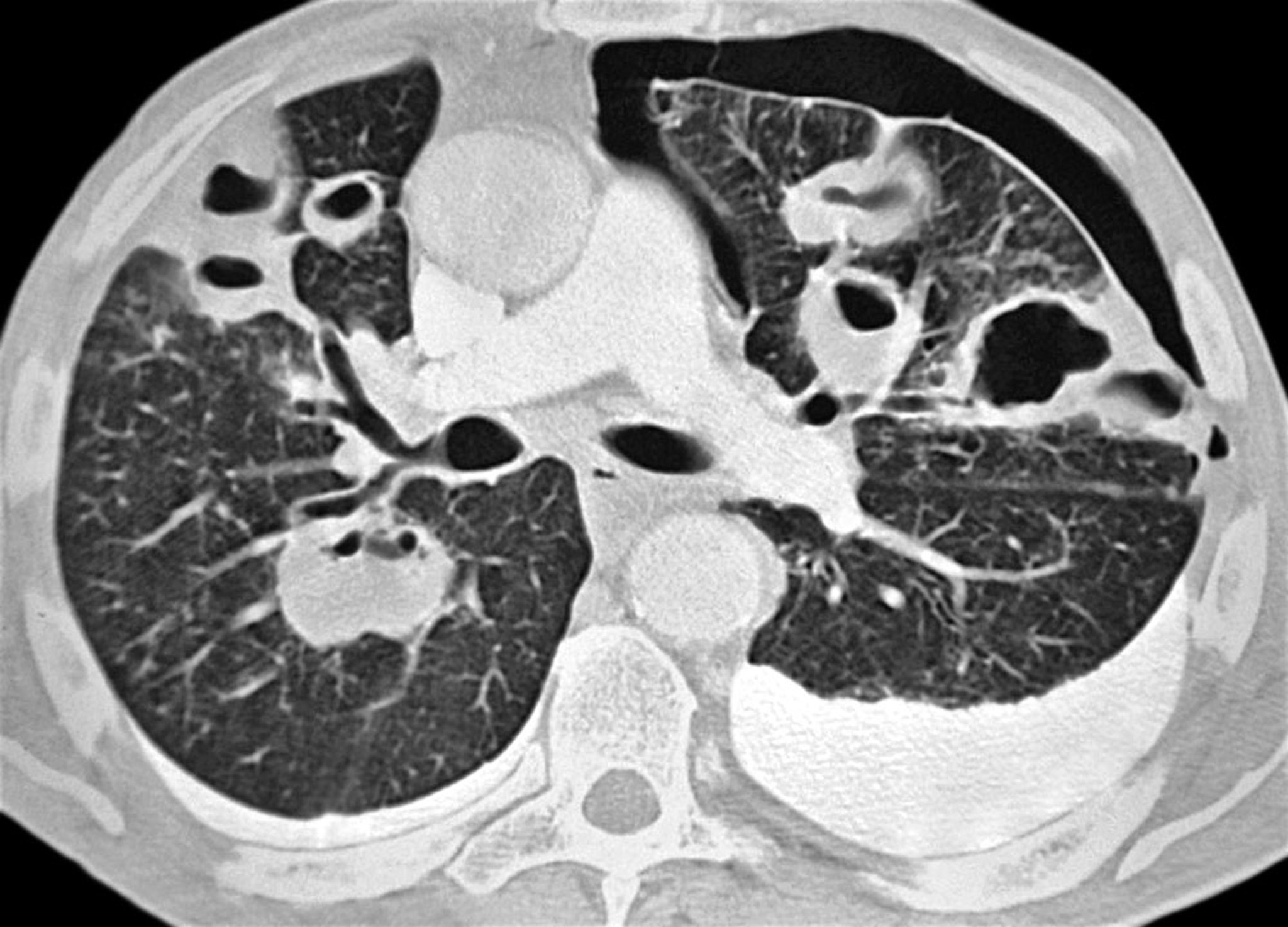
This axial CT scan shows a left-sided pneumothorax in a patient with bacterial pneumonia. Multiple abscesses and bilateral pleural effusions (more prominent on the left) are seen as well.
PNMB/SCIENCE PHOTO LIBRARY
In these topics
