Periodontitis (Loss of Supporting Tissues of the Tooth)
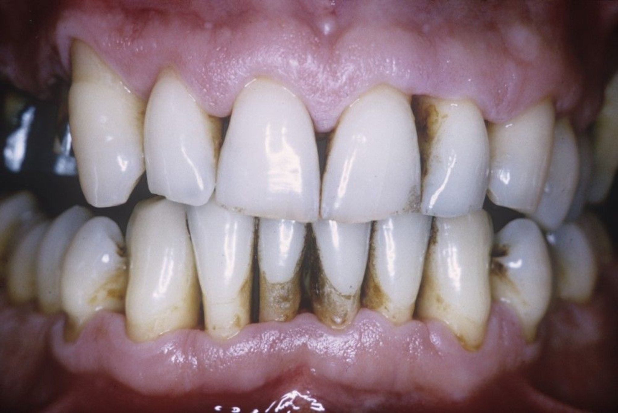
This photo shows a close-up of tissue loss in a person with periodontal disease. Periodontal disease has caused a loss of gum tissue and bone around the teeth.
Dr. W. GREEN/CNRI/SCIENCE PHOTO LIBRARY
In these topics
