Perilunate Dislocation
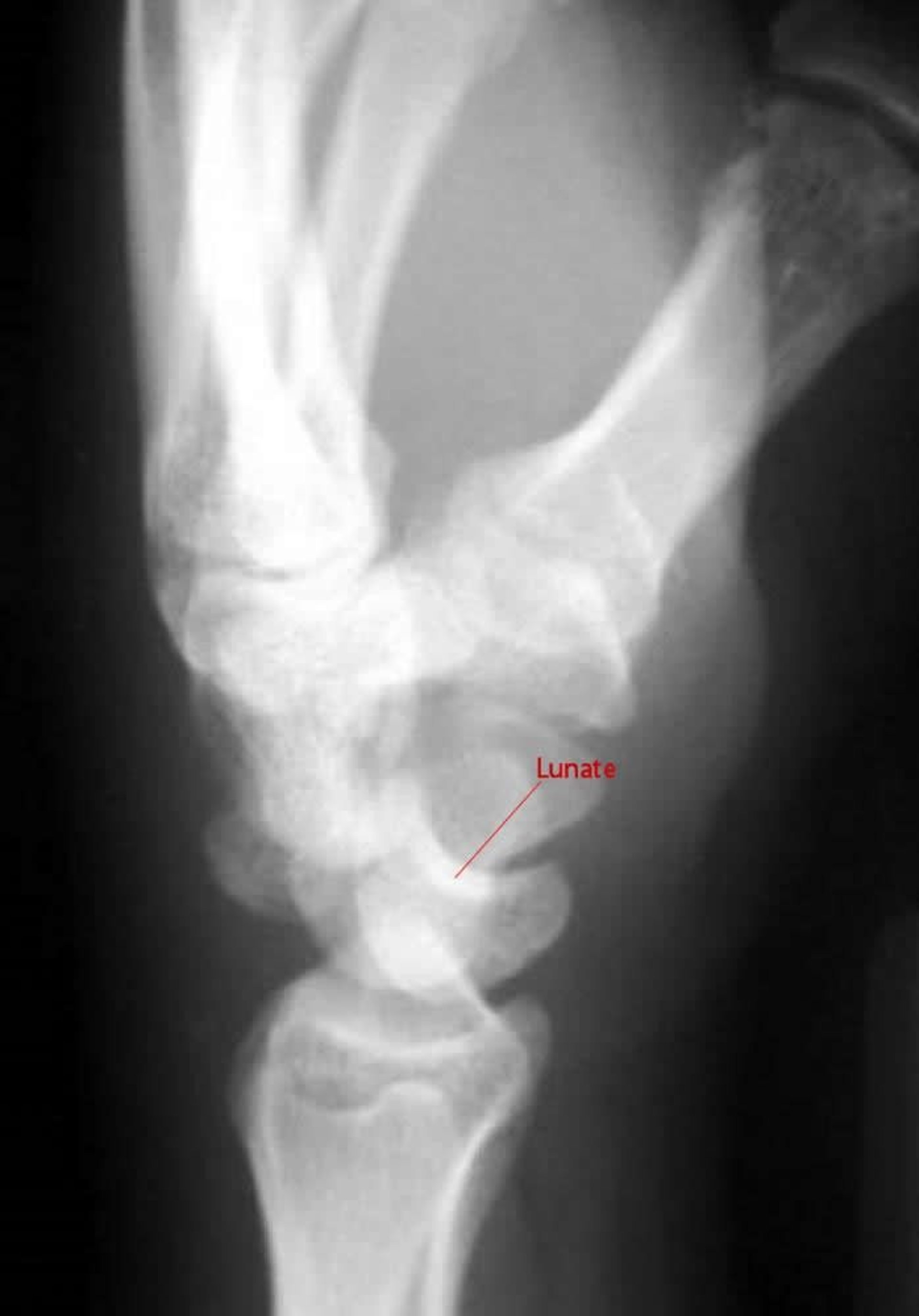
On a lateral view of a perilunate dislocation, the capitate does not articulate with the lunate.
Image courtesy of Danielle Campagne, MD.
In these topics
On a lateral view of a perilunate dislocation, the capitate does not articulate with the lunate.
Image courtesy of Danielle Campagne, MD.