honeypot link
skip to main content
Professional
Consumer
MSD Manual
Professional Version
MEDICAL TOPICS
RESOURCES
COMMENTARY
PROCEDURES
QUIZZES
ABOUT US
MEDICAL TOPICS
RESOURCES
<
Images
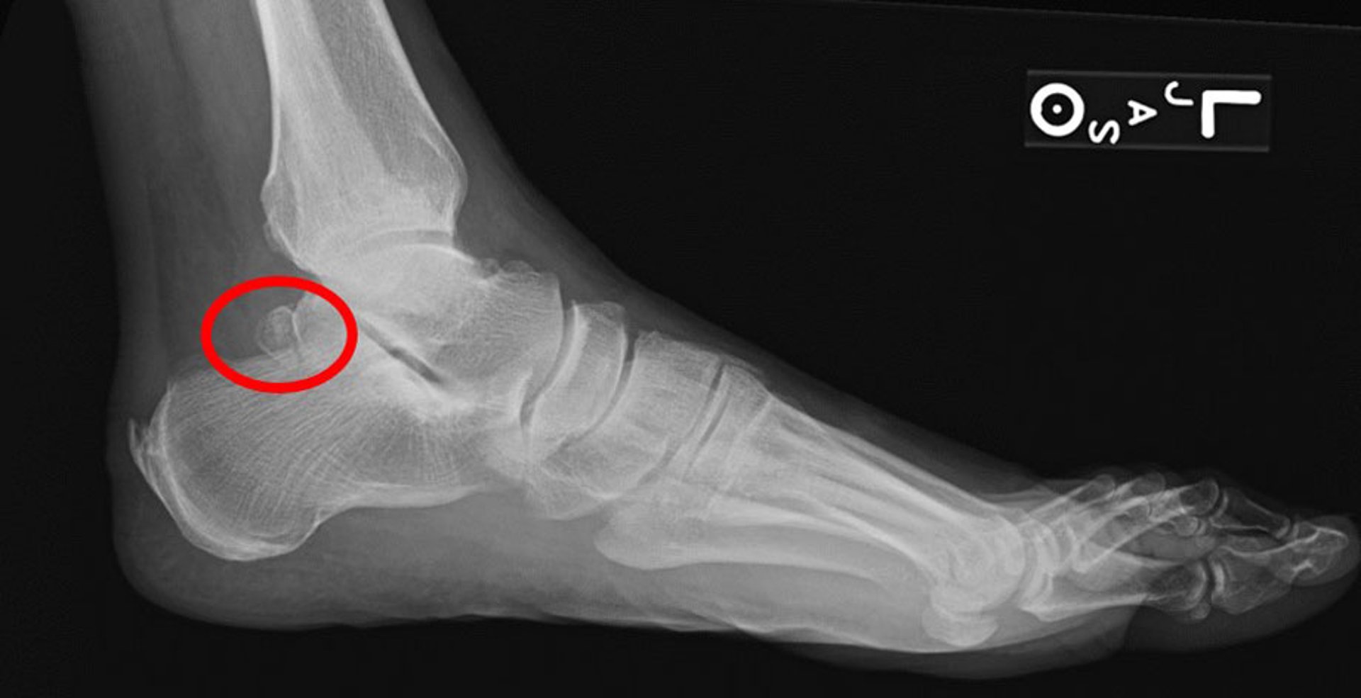
Os Trigonum
This lateral radiograph shows an os trigonum (circle).
Image courtesy of James C. Connors, DPM.
In these topics
Anterior Achilles Tendon Bursitis
>