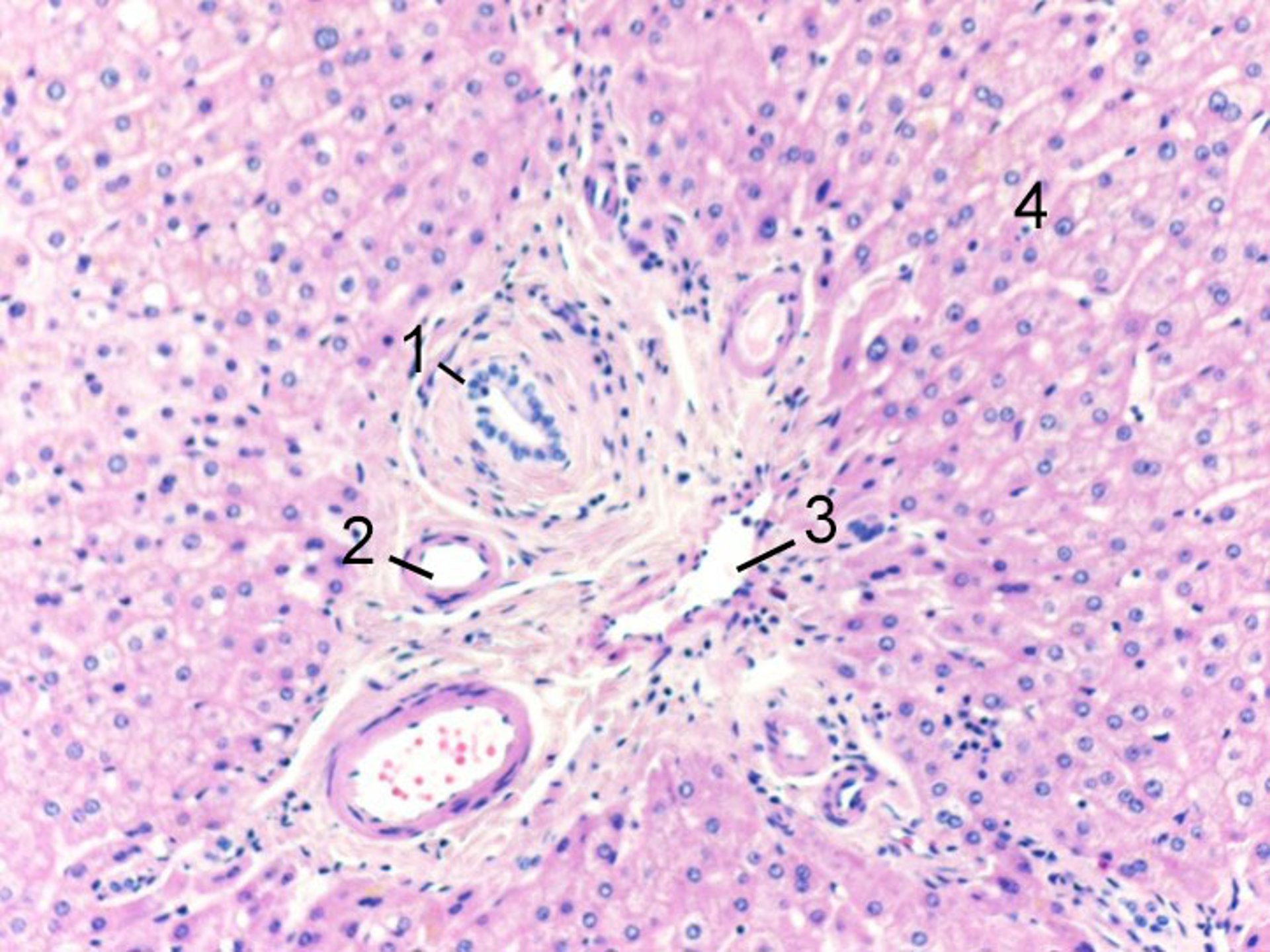
Normal Portal Triad
1 = Bile duct branch; 2 = hepatic artery branch; 3 = portal vein branch; 4 = hepatocytes.
Image courtesy of Danielle Tholey, MD, and M. Isabel Fiel, MD, MS, FAASLD.
In these topics
1 = Bile duct branch; 2 = hepatic artery branch; 3 = portal vein branch; 4 = hepatocytes.
Image courtesy of Danielle Tholey, MD, and M. Isabel Fiel, MD, MS, FAASLD.