honeypot link
skip to main content
  • follow us on facebook
  • follow us on Twitter
MSDMSD ManualProfessional Version
MEDICAL TOPICSRESOURCESCOMMENTARYPROCEDURESQUIZZESABOUT US
homeMEDICAL TOPICSRESOURCES
Search icon
  1. <Images
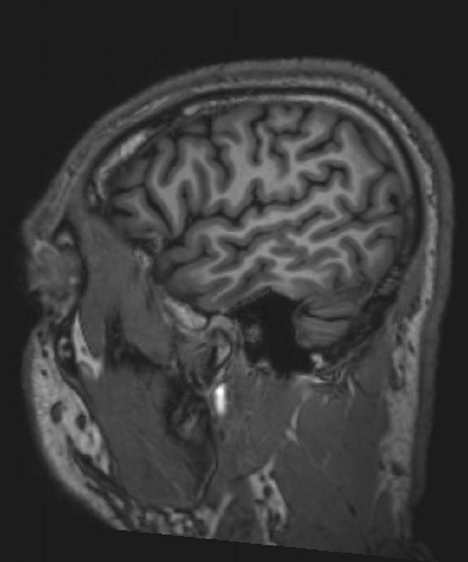
    Normal Brain MRI (Sagittal) – Slide 1

    Normal Brain MRI (Sagittal) – Slide 1

    © 2017 Elliot K. Fishman, MD.

    In these topics
    • Magnetic Resonance Imaging in Neurologic Disorders >
    MSD
    • About us
    • Disclaimer
    • Permissions
    • Privacy
    • Cookie Preferences
    • Terms of use
    • Partnerships
    • Contact Us
    • Global Medical Knowledge
    • Veterinary Manual
    • Mobile App
    • follow us on facebook
    • follow us on Twitter
    This icon serves as a link to download the eSSENTIAL Accessibility assistive technology app for individuals with physical disabilities. It is featured as part of our commitment to diversity and inclusion.
    • follow us on facebook
    • follow us on Twitter
    This icon serves as a link to download the eSSENTIAL Accessibility assistive technology app for individuals with physical disabilities. It is featured as part of our commitment to diversity and inclusion.
    MSD

    Copyright© 2026Merck & Co., Inc., Rahway, NJ, USA and its affiliates. All rights reserved.