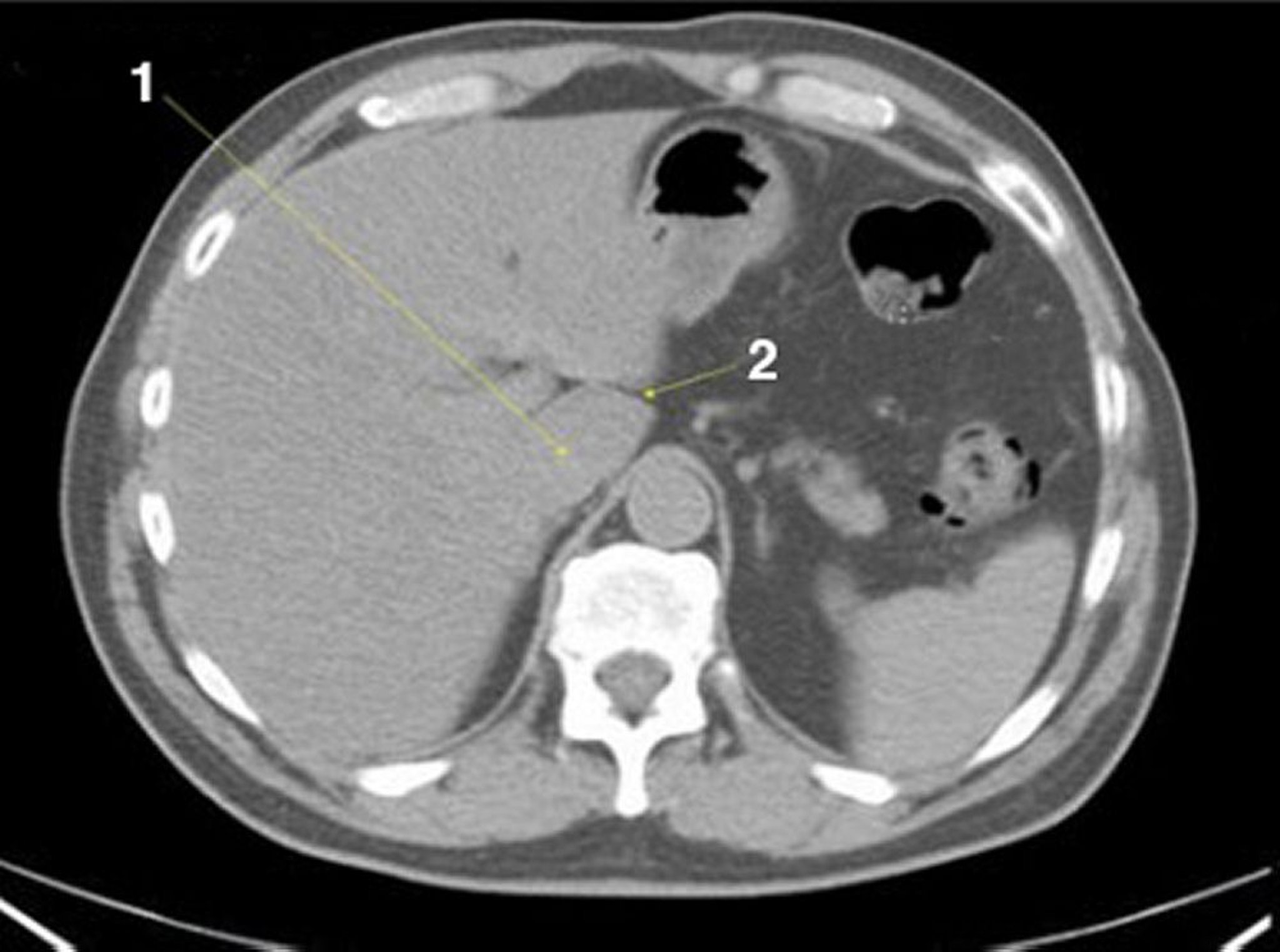
Noncontrast CT Scan of the Abdomen and Pelvis Showing Normal Anatomy (Slide 4)
1 = caudate lobe of liver; 2 = fissure for ligamentum venosum.
© Springer Science+Business Media
In these topics
1 = caudate lobe of liver; 2 = fissure for ligamentum venosum.
© Springer Science+Business Media