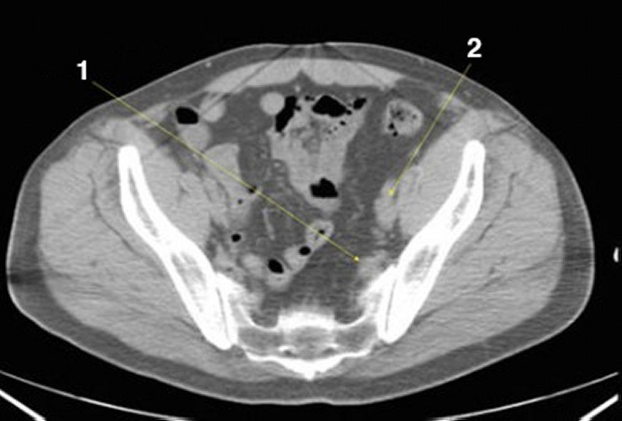
Noncontrast CT Scan of the Abdomen and Pelvis Showing Normal Anatomy (Slide 24)
1 = internal iliac vessels; 2 = external iliac vessels.
© Springer Science+Business Media
In these topics
1 = internal iliac vessels; 2 = external iliac vessels.
© Springer Science+Business Media