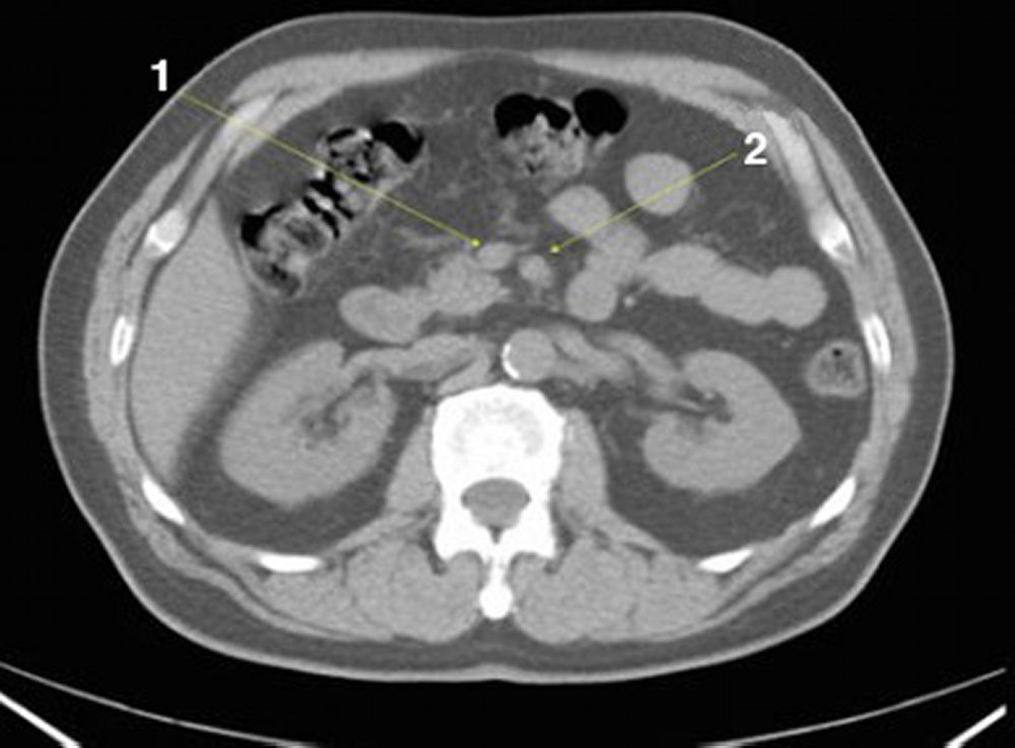
Noncontrast CT Scan of the Abdomen and Pelvis Showing Normal Anatomy (Slide 13)
1 = superior mesenteric vein; 2 = superior mesenteric artery.
© Springer Science+Business Media
In these topics
1 = superior mesenteric vein; 2 = superior mesenteric artery.
© Springer Science+Business Media